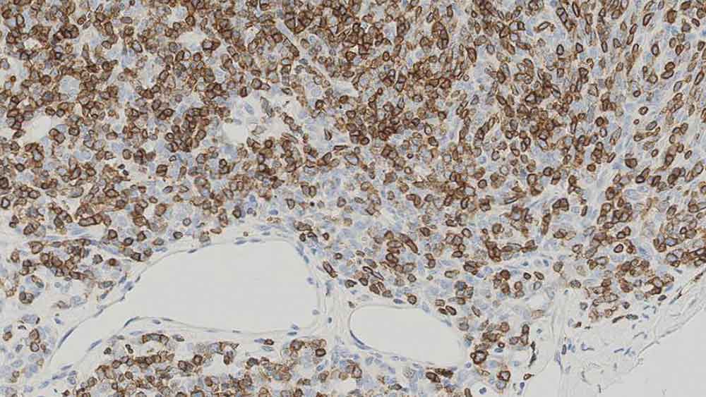
Human thymoma: immunohistochemical staining for CD1a. Note the neoplastic cells show a moderate to strong and distinct membrane staining reaction. CD1a: clone MTB1

CD1a

Antigen Background

CD1a is a protein of 43 to 49 kD expressed on dendritic cells and cortical thymocytes. CD1a antigen expression has been shown to be useful in differentiating Langerhans cells, powerful antigen presenting cells present in skin and epithelia, from interdigitating cells. Immunohistochemical studies for CD1a antigen have reported a reduction in epidermal Langerhans cells in graft versus host disease and the participation of CD1a antigen-positive dendritic cells in atherosclerotic lesion formation and asthmatic inflammation.

Product Specific Information

Clone MTB1 detects cortical thymocytes, Langerhans cells in epidermis, interdigitating cells of dermis and interdigitating cells of stratified squamous epithelium of tonsil. Clone MTB1 may also detect small focal groups of lymphocytes outside the germinal centers of tonsil indicating a cross-reaction with CD1b antigen.

Disclaimer

CD1a is recommended for the detection of specific antigens of interest in normal and neoplastic tissues, as an adjunct to conventional histopathology using non-immunologic histochemical stains.

제품

제품

CD1A-235-L-CE-H
0.5ml NCL-L-CD1a-235
국가 가용성
or REQUEST a bulk quote.
CD1A-235-L-CE
1ml NCL-L-CD1a-235
국가 가용성
PA0235
7ml CD1a Bond RTU Primary
국가 가용성
CD1A-235-L-U
1ml NCL-L-CD1a-235
국가 가용성
PA0235-U
7ml CD1a Bond RTU Primary
국가 가용성

Downloads

Downloads

CD1A-235-L-CE-H

CD1A-235-L-CE

PA0235

CD1A-235-L-U

PA0235-U

Recently Viewed