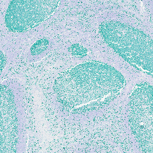
Green Chromogen

Green Chromogen is designed to be used in conjunction with DS9914 BOND Polymer Refine HRP Plex Detection kit. This chromogen provides an intense green color and is suitable for use with permanent mounting media such as our CV Ultra mounting media.

Our Green Chromogen can be used to provide striking contrast against a multitude of chromogen and counterstain staining combinations. Take advantage of on-board chromogen mixing on BOND instruments, not to mention the fully automated staining opportunities using BOND detection systems and BOND ready-to-use primary antibodies and probes.

제품

제품

DC9913
Green Chromogen
국가 가용성

Downloads

Downloads

DC9913

Recently Viewed