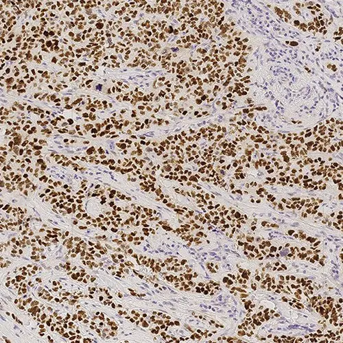
Human ductal carcinoma of the breast: immunohistochemical staining of p53 Protein. Note the intense nuclear staining of tumor cells. p53: clone DO-7

p53 Protein

Antigen Background
This monoclonal antibody recognizes both wild-type and mutant forms of human p53 protein under denaturing and non-denaturing conditions. The epitope recognized by clone DO-7 can be destroyed by prolonged fixation in buffered formalin. The heat-induced epitope retrieval technique may improve staining in some cases.

Disclaimer
p53 Protein is recommended for the detection of specific antigens of interest in normal and neoplastic tissues, as an adjunct to conventional histopathology using non-immunologic histochemical stains.

제품

제품

P53-DO7-L-CE
1ml NCL-L-p53-DO7
PA0057
7ml p53 Bond RTU Primary

Downloads

Downloads

P53-DO7-L-CE

PA0057

Recently Viewed