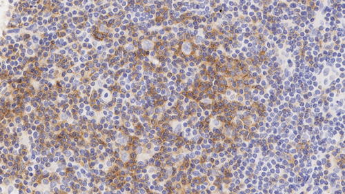
Hodgkin lymphoma: Immunohistochemistry staining of PD-1. PD-1: clone CAL20

PD-1

Antigen Background
PD-1 (Programmed Death 1) is a 55KDa Type I transmembrane cell surface receptor which is expressed by T-cells during activation. It is also upregulated in B-cells, dendritic cells, natural killer cells and some myeloid cells, suggesting a broad role for PD1 in immune regulation. PD-1 interacts with at least two ligands: PD-L1 and PD-L2. PD-1/PD-L1 interaction is important in many Tcell functions including acute and chronic inflammation, cancer and immunotherapy.

Disclaimer
PD-1 is recommended for the detection of specific antigens of interest in normal and neoplastic tissues, as an adjunct to conventional histopathology using non-immunologic histochemical stains.

製品

製品

PA0216-U
7mL PD-1 (CAL20) BOND RTU Primary
在庫を確認する
PA0216
7mL PD-1 (CAL20) BOND RTU Primary
在庫を確認する

ダウンロード

ダウンロード

PA0216-U

PA0216

Recently Viewed