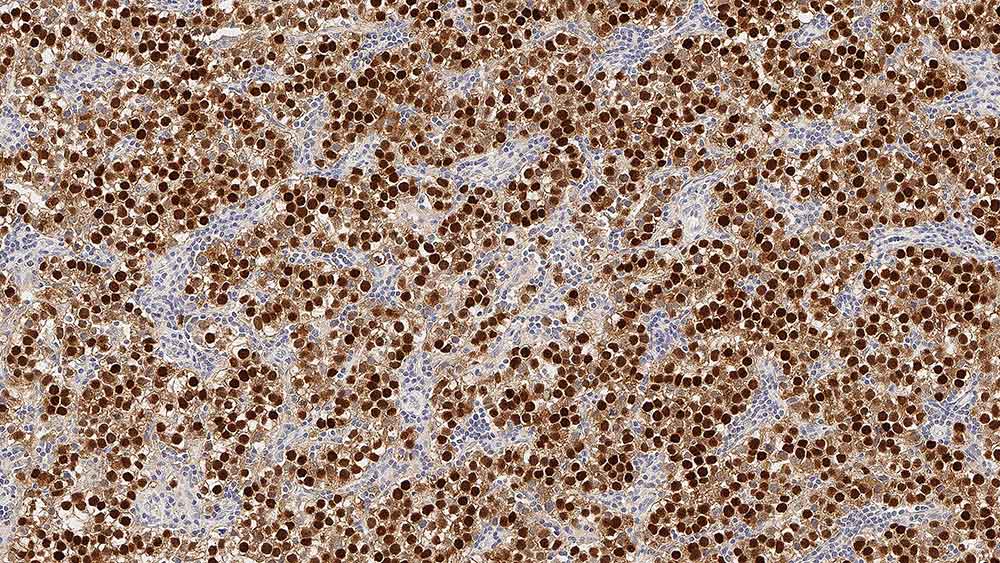
Human testes, seminoma: immunohistochemical staining for Oct-3/4. Note nuclear staining of neoplastic cells. Oct-3/4: clone N1NK

Oct-3/4

Antigen Background
Oct-3/4 is a member of the POU homeodomain family of transcription factors, which is expressed by embryonic stem cells and germ cells. A critical amount of Oct-3/4 is required to maintain stem cell self replication. Down-regulation of Oct-3/4 levels are associated with loss of pluripotency. Oct-3/4 has been proposed as a useful marker for germ cell tumors which exhibit features of pluripotentiality, including seminoma/dysgerminoma/germinoma and embryonal carcinoma, and establishing a germ cell origin for some metastatic tumors of uncertain primary origin.

Disclaimer
Oct-3/4 is recommended for the detection of specific antigens of interest in normal and neoplastic tissues, as an adjunct to conventional histopathology using non-immunologic histochemical stains.

製品

製品

OCT3/4-L-CE
NCL-L-OCT3/4,Oct-3/4,N1NK,1mL
在庫を確認する
PA0193
PA0193,Oct-3/4,N1NK,7mL
在庫を確認する
PA0934
???1604?Oct-3/4
在庫を確認する
OCT3/4-L-U
1ml NCL-L-OCT3/4
在庫を確認する
PA0193-U
7ml Oct-3/4 (N1NK) Bond RTU Primary
在庫を確認する

ダウンロード

ダウンロード

OCT3/4-L-CE

PA0193

PA0934

OCT3/4-L-U

PA0193-U

Recently Viewed