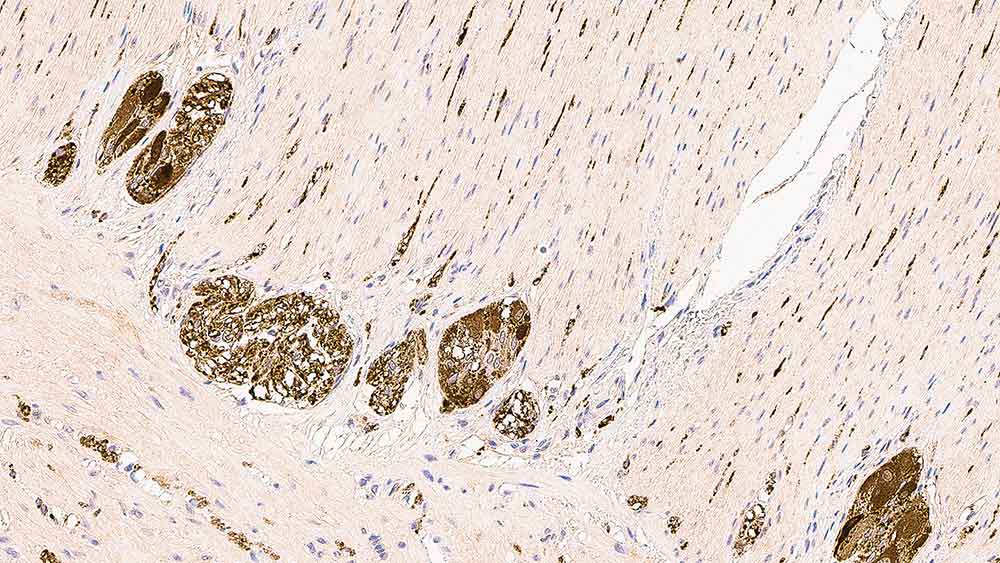
Human large bowel: immunohistochemical staining of Neuron Specific Enolase (NSE). Note the staining in the neuronal elements and the ganglia of the longitudinal and circular smooth muscle. Neuron Specific Enolase: clone 22C9

Neuron Specific Enolase

Antigen Background
Clone 22C9 reacts with the gamma-subunit of the enolase isoenzyme.

Disclaimer
Neuron Specific Enolase is recommended for the detection of specific antigens of interest in normal and neoplastic tissues, as an adjunct to conventional histopathology using non-immunologic histochemical stains.

製品

製品

PA0435-U
7ml NSE Bond RTU Primary
在庫を確認する
PA0435
Neuron Specific Enolase
在庫を確認する

ダウンロード

ダウンロード

PA0435-U

PA0435

Recently Viewed