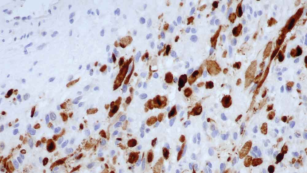
Human rhabdomyosarcoma: immunohistochemical staining for myoglobin. Note: nuclear staining. Myoglobin: clone MYO18

Myoglobin

Antigen Background
Myoglobin is a cytoplasmic, single-chain polypeptide of 153 amino acids that contains a single heme group. Myoglobin is reported to be expressed in skeletal and cardiac muscle but not in smooth muscle and functions as an oxygen transporting pigment.

Disclaimer
Myoglobin is recommended for the detection of specific antigens of interest in normal and neoplastic tissues, as an adjunct to conventional histopathology using non-immunologic histochemical stains.

製品

製品

PA0727-U
7ml Myoglobin Bond RTU Primary
在庫を確認する
PA0727
Myoglobin
在庫を確認する

ダウンロード

ダウンロード

PA0727-U

PA0727

Recently Viewed