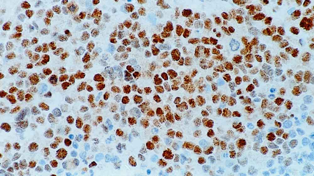
Human rhabdomyosarcoma: immunohistochemical staining for Myf-4 protein. Note staining of a proportion of tumor cell nuclei. Myogenin (Myf-4): clone LO26

Myogenin (Myf-4)

Antigen Background

Rhabdomyosarcomas are a class of myoblast-derived soft tissue sarcomas that usually express a number of muscle-specific genes and primarily affect children and young adults. Differentiation of myogenic cells is controlled by a set of regulatory genes including MyoD1, myogenin, Myf-5 and Myf-6. Myf-4 is the human homolog of myogenin. Its gene product, together with that of Myf-3, accumulates in the nucleus of differentiated cells.

Disclaimer

Myogenin (Myf-4) is recommended for the detection of specific antigens of interest in normal and neoplastic tissues, as an adjunct to conventional histopathology using non-immunologic histochemical stains.

製品

製品

PA0226-U
7ml Myf-4 Bond RTU Primary
在庫を確認する
MYF-4-L-CE
NCL-L-Myf-4,Myogenin(Myf-4),LO26,1mL
在庫を確認する
PA0226
Myf-4 (Rhabdomyosarcoma Marker)
在庫を確認する
MYF-4-L-U
1ML NCL-L-Myf-4
在庫を確認する

ダウンロード

ダウンロード

PA0226-U

MYF-4-L-CE

PA0226

MYF-4-L-U

Recently Viewed