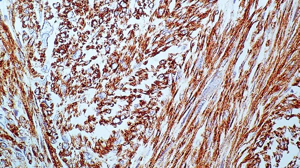
Human leiomyosarcoma: immunohistochemical staining for Muscle Specific Actin. Muscle Specific Actin: clone HHF35

Muscle Specific Actin

Antigens Background

Muscle specific actin (MSA) is a highly conserved, ubiquitous protein found in muscle and some non-muscle cells. Actins can be divided into three subsets, alpha actins found in muscle tissue cells, beta and gamma actins found in non-muscle cells and a small subset of gamma actins also found in muscle tissue cells. In normal tissues, expression is found in striated fibers of skeletal muscle, smooth muscle in arteries, veins and pericytes of smaller arteries, muscle in bowel, myometrium of the uterus, prostatic stroma, capsule cells of liver, kidney, lymph node and spleen, the myoepithelial layers of mammary ducts and glands, eccrine sweat glands and salivary glands. Expression is not found in epithelial cells, lymphoid cells, macrophages, connective tissue and neuronal cells. In neoplastic tissues, expression can be found in soft tissue tumors with muscle differentiation, for example, leiomyomas, leiomyosarcomas and rhabdomyosarcomas of varying subtypes. Non-muscle sarcomas, carcinomas, melanomas and lymphomas do not express muscle specific actin.

Disclaimer

Muscle Specific Actin is recommended for the detection of specific antigens of interest in normal and neoplastic tissues, as an adjunct to conventional histopathology using non-immunologic histochemical stains.

製品

製品

PA0258-U
7ml MuscSpecAct Bond RTU Prim
在庫を確認する
MSA-594-L-CE
1ml NCL-L-MSA-594
在庫を確認する
PA0258
Muscle Specific Actin
在庫を確認する
MSA-594-L-U
1ml NCL-L-MSA-594
在庫を確認する

ダウンロード

ダウンロード

PA0258-U

MSA-594-L-CE

PA0258

MSA-594-L-U

Recently Viewed