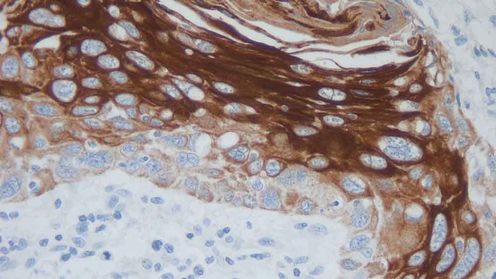
Human squamous cell carcinoma, floor of the mouth: immunohistochemical staining for Cytokeratin 17. Note cytoplasmic staining of malignant cells. Cytokeratin 17: clone E3

Cytokeratin 17

Antigen Background

Cytokeratin 17は、正常組織では気管・喉頭・気管支の偽重層上皮(多列上皮)の基底細胞や唾液腺・汗腺の筋上皮細胞に発現することが報告されています。腫瘍組織では、肺、子宮頸部、口腔の扁平上皮癌に発現することが報告されています。

Product Specific Information

CK17 reacts with the human cytokeratin intermediate filament protein (46 kD) identified as cytokeratin 17.

Disclaimer

Cytokeratin 17 is recommended for the detection of specific antigens of interest in normal and neoplastic tissues, as an adjunct to conventional histopathology using non-immunologic histochemical stains.

製品

製品

CK17-L-CE
NCL-L-CK17,Cytokeratin 17,E3,1mL
在庫を確認する
PA0114
PA0114?Cytokeratin 17?7mL
在庫を確認する
CK17-L-U
1ml NCL-L-CK17
在庫を確認する
PA0114-U
7ml Cytokeratin 17 Bond RTU Primary
在庫を確認する

ダウンロード

ダウンロード

CK17-L-CE

PA0114

CK17-L-U

PA0114-U

Recently Viewed