It appears that your browser has cookies disabled.
The website requires your browser to enable cookies in order to login.
Please enable cookies and reload this page.
Log In
Register for an account
Don't have a login? Register today to view list prices and apply for an account to purchase online!
Antigen Background
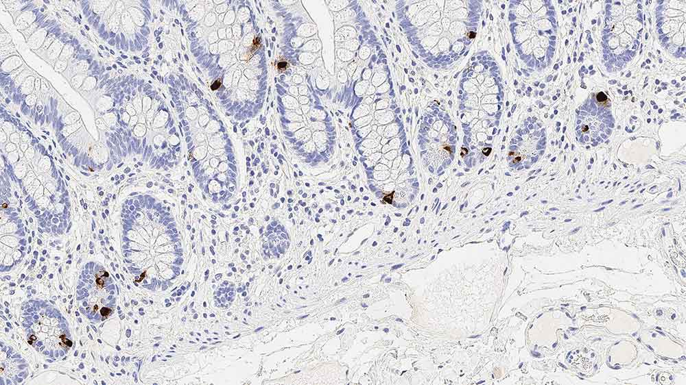
Chromogranin Aは68kDの酸性タンパクで、神経組織および内分泌細胞(副甲状腺、副腎髄質、脳下垂体前葉、膵島細胞、甲状腺C細胞など)の分泌顆粒に発現することが報告されています。Chromogranin Aの発現は、下垂体腺腫、膵島細胞腫、褐色細胞腫、甲状腺髄様癌、メルケル細胞腫、カルチノイドなどの神経内分泌腫瘍で報告されています。
Disclaimer
Chromogranin A is recommended for the detection of specific antigens of interest in normal and neoplastic tissues, as an adjunct to conventional histopathology using non-immunologic histochemical stains.
Algeria
Andorra
Argentina
Armenia
Australia
Austria
Bahrain
Bangladesh
Belarus
Belgium
Bosnia And Herzegowina
Brazil
Brunei Darussalam
Bulgaria
Chile
China
Cote D'Ivoire
Cyprus
Czech Republic
Denmark
Estonia
Ethiopia
Finland
France
French Guiana
Georgia
Germany
Ghana
Greece
Guadeloupe
Guyana
Holy See (Vatican City State)
Hong Kong
Hungary
Iceland
Indonesia
Iraq
Ireland
Israel
Italy
Japan
Jordan
Kazakhstan
Kenya
Kuwait
Latvia
Lebanon
Libyan Arab Jamahiriya
Liechtenstein
Lithuania
Luxembourg
Malawi
Mali
Malta
Martinique
Mauritania
Mauritius
Mayotte
Mexico
Morocco
Nepal
Netherlands
New Caledonia
New Zealand
Nigeria
Norway
Occupied Palestinian Territory
Oman
Pakistan
Paraguay
Philippines
Poland
Portugal
Puerto Rico
Qatar
Reunion
Romania
Russian Federation
Saudi Arabia
Senegal
Serbia
Singapore
Slovakia (Slovak Republic)
Slovenia
South Africa
Spain
Sudan
Sweden
Switzerland
Taiwan
Tanzania, United Republic Of
Thailand
Togo
Trinidad And Tobago
Tunisia
Turkey
Uganda
Ukraine
United Arab Emirates
United Kingdom
Uzbekistan
Zambia
India
Indonesia
Malaysia
Mexico
New Zealand
Peru
Serbia
Singapore
South Korea
Algeria
Andorra
Argentina
Armenia
Austria
Bahrain
Bangladesh
Belarus
Belgium
Benin
Bosnia And Herzegowina
Brazil
Bulgaria
Chile
China
Colombia
Costa Rica
Cote D'Ivoire
Cyprus
Czech Republic
Denmark
Ecuador
El Salvador
Estonia
Ethiopia
Finland
France
French Guiana
Georgia
Germany
Greece
Guadeloupe
Guyana
Holy See (Vatican City State)
Hong Kong
Hungary
Iceland
India
Indonesia
Iraq
Ireland
Israel
Italy
Japan
Jordan
Kazakhstan
Kenya
Kuwait
Latvia
Lebanon
Libyan Arab Jamahiriya
Liechtenstein
Lithuania
Luxembourg
Malawi
Malta
Martinique
Mauritania
Mauritius
Mexico
Moldova, Republic Of
Morocco
Nepal
Netherlands
New Caledonia
Nigeria
Norway
Occupied Palestinian Territory
Oman
Pakistan
Panama
Paraguay
Peru
Philippines
Poland
Portugal
Puerto Rico
Qatar
Reunion
Romania
Russian Federation
Saudi Arabia
Senegal
Serbia
Singapore
Slovakia (Slovak Republic)
Slovenia
South Africa
Spain
Sudan
Sweden
Switzerland
Taiwan
Tanzania, United Republic Of
Thailand
Togo
Trinidad And Tobago
Tunisia
Turkey
Uganda
Ukraine
United Arab Emirates
United Kingdom
Uruguay
Uzbekistan
Vietnam
Canada
Puerto Rico
Trinidad And Tobago
United States
Australia
Canada
Guyana
New Zealand
Puerto Rico
Trinidad And Tobago
United States
Successfully added to cart
added to cart.
No item added to cart
The replacement product is no longer available, no item has been added to cart.
If you have any questions, contact us at 1.844.534.2262
