It appears that your browser has cookies disabled.
The website requires your browser to enable cookies in order to login.
Please enable cookies and reload this page.
Log In
Register for an account
Don't have a login? Register today to view list prices and apply for an account to purchase online!
Antigen Background
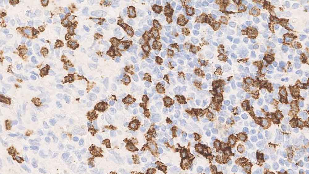
CD8 は2鎖から構成され、分子量は32kDです。ヒト末梢血リンパ球の約20-35%を占めるcytotoxic/suppressor T細胞のサブセットに認められます。CD8は、ナチュラルキラー細胞、80%の胸腺細胞、30%の末梢血Null細胞、15-30%の骨髄細胞に検出されることが報告されています。
Disclaimer
CD8 is recommended for the detection of specific antigens of interest in normal and neoplastic tissues, as an adjunct to conventional histopathology using non-immunologic histochemical stains.
Austria
Estonia
Hong Kong
Iceland
Japan
Latvia
Lithuania
Mexico
Oman
Serbia
Singapore
Sri Lanka
Sudan
Taiwan
Tanzania, United Republic Of
Thailand
Trinidad And Tobago
Algeria
Andorra
Angola
Argentina
Armenia
Australia
Austria
Bahrain
Bangladesh
Belarus
Belgium
Bosnia And Herzegowina
Botswana
Brazil
Brunei Darussalam
Bulgaria
Chile
China
Colombia
Congo, The Democratic Republic Of The
Cote D'Ivoire
Cyprus
Czech Republic
Denmark
Estonia
Ethiopia
Finland
France
French Guiana
Georgia
Germany
Greece
Guadeloupe
Guyana
Holy See (Vatican City State)
Hong Kong
Hungary
Iceland
India
Iraq
Ireland
Israel
Italy
Japan
Jordan
Kazakhstan
Kenya
Kuwait
Latvia
Lebanon
Libyan Arab Jamahiriya
Lithuania
Luxembourg
Malawi
Malaysia
Malta
Martinique
Mauritius
Mayotte
Mexico
Myanmar
Namibia
Netherlands
New Zealand
Nigeria
Norway
Occupied Palestinian Territory
Oman
Pakistan
Paraguay
Philippines
Poland
Portugal
Puerto Rico
Qatar
Reunion
Romania
Russian Federation
Rwanda
Saudi Arabia
Senegal
Serbia
Singapore
Slovakia (Slovak Republic)
Slovenia
South Africa
South Korea
Spain
Sudan
Sweden
Taiwan
Tanzania, United Republic Of
Thailand
Togo
Trinidad And Tobago
Tunisia
Turkey
Uganda
Ukraine
United Arab Emirates
United Kingdom
Uzbekistan
Vietnam
Zambia
Zimbabwe
Algeria
Andorra
Angola
Argentina
Armenia
Austria
Bahrain
Bangladesh
Belarus
Belgium
Benin
Bosnia And Herzegowina
Botswana
Brazil
Brunei Darussalam
Bulgaria
Chile
Colombia
Congo, The Democratic Republic Of The
Costa Rica
Cote D'Ivoire
Cyprus
Czech Republic
Denmark
Ecuador
El Salvador
Estonia
Ethiopia
Finland
France
French Guiana
Georgia
Germany
Greece
Guadeloupe
Guyana
Holy See (Vatican City State)
Hong Kong
Hungary
Iceland
India
Iraq
Ireland
Israel
Italy
Japan
Jordan
Kazakhstan
Kenya
Kuwait
Latvia
Lebanon
Libyan Arab Jamahiriya
Liechtenstein
Lithuania
Luxembourg
Malawi
Malaysia
Malta
Martinique
Mauritania
Mauritius
Mexico
Moldova, Republic Of
Morocco
Myanmar
Namibia
Nepal
Netherlands
New Caledonia
Nigeria
Norway
Occupied Palestinian Territory
Oman
Pakistan
Paraguay
Peru
Philippines
Poland
Portugal
Puerto Rico
Qatar
Reunion
Romania
Russian Federation
Rwanda
Saudi Arabia
Senegal
Singapore
Slovakia (Slovak Republic)
Slovenia
South Africa
South Korea
Spain
Sudan
Sweden
Switzerland
Taiwan
Tanzania, United Republic Of
Thailand
Togo
Trinidad And Tobago
Tunisia
Turkey
Uganda
Ukraine
United Arab Emirates
United Kingdom
Uruguay
Uzbekistan
Vietnam
Zambia
Zimbabwe
Canada
Puerto Rico
Trinidad And Tobago
United States
Australia
Canada
New Zealand
Puerto Rico
Trinidad And Tobago
United States
Successfully added to cart
added to cart.
No item added to cart
The replacement product is no longer available, no item has been added to cart.
If you have any questions, contact us at 1.844.534.2262

