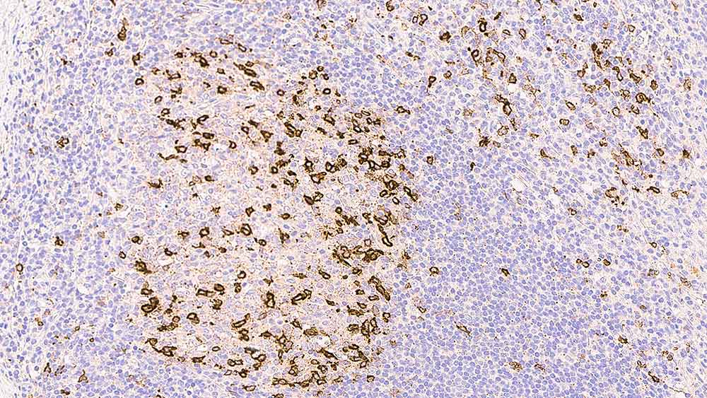
Human tonsil: immunohistochemical staining of T lymphocytes. CD57: clone NK-1

CD57

Antigen Background

CD57は、HNK-1としても知られる分子量110kDの糖タンパクです。ナチュラルキラー活性のある単核細胞のサブセットやミエリン関連糖タンパクを発現する神経外胚葉性細胞で認められます。CD57 およびCD8タンパクを同時発現する細胞の多くは、suppressor/cytotoxic T細胞のサブセットです。これらの細胞は、移植後の拒絶反応に関与しています。CD57は、赤血球や血小板には発現していません。

Product Specific Information

Enzyme pretreatment may enhance staining in some cases.

Disclaimer

CD57 is recommended for the detection of specific antigens of interest in normal and neoplastic tissues, as an adjunct to conventional histopathology using non-immunologic histochemical stains.

製品

製品

PA0443-U
7ml CD57 Bond RTU Prim
在庫を確認する
PA0443
CD57
在庫を確認する

ダウンロード

ダウンロード

PA0443-U

PA0443

Recently Viewed