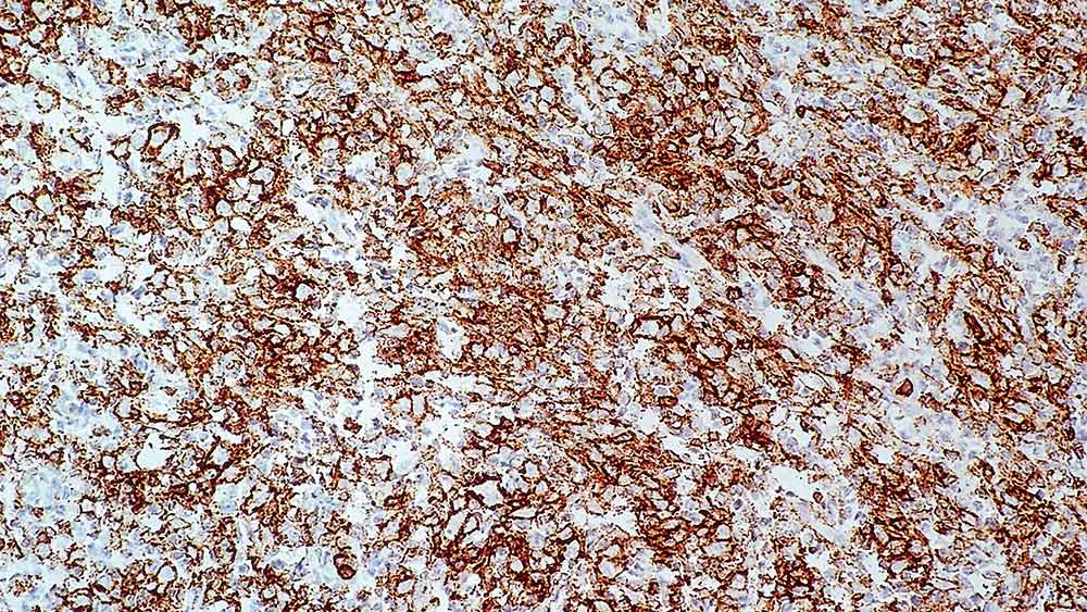
Diffuse large B cell lymphoma: immunohistochemical staining for CD43. Note the intense staining of malignant CD43: clone MT1

CD43

Antigen Background

CD43は、T細胞および骨髄系細胞の細胞膜および細胞質に発現します。その分子量は細胞系で異なり、SDS-PAGEでは90-140kDのバンドが観察されます。CD43を発現する細胞には正常および腫瘍性T細胞が含まれることが報告されています。慢性B細胞性白血病やdiffuse large B細胞性リンパ腫の一部でもCD43を発現すると報告されています。

Product Specific Information

Enzyme pretreatment may enhance staining with clone MT1 in some cases.

Disclaimer

CD43 is recommended for the detection of specific antigens of interest in normal and neoplastic tissues, as an adjunct to conventional histopathology using non-immunologic histochemical stains.

製品

製品

PA0938-U
7ml CD43 Bond RTU Primary
在庫を確認する
MT1-L
NCL-L-MT1:CD43:1mL
在庫を確認する
MT1-L-U
1ml NCL-L-MT1 US IVD
在庫を確認する
PA0938
CD43
在庫を確認する

ダウンロード

ダウンロード

PA0938-U

MT1-L

MT1-L-U

PA0938

Recently Viewed