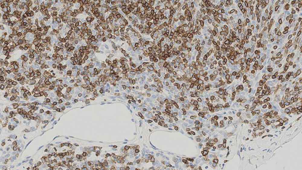
Human thymoma: immunohistochemical staining for CD1a. Note the neoplastic cells show a moderate to strong and distinct membrane staining reaction. CD1a: clone MTB1

CD1a

Antigen Background

CD1aは43-49kDのタンパクで、樹状細胞と胸腺皮質細胞に発現しています。CD1aの発現は、ランゲルハンス細胞(皮膚と上皮に存在する強力な抗原提示細胞)と指状突起細胞の同定に有用であることが示されています。CD1aの免疫組織化学的研究によって、移植片対宿主病(GVHD)では表皮ランゲルハンス細胞が減少することと、CD1a陽性樹状細胞が動脈硬化病変形成と喘息様炎症に関与していることが報告されています。

Product Specific Information

Clone MTB1抗体は、胸腺皮質細胞、表皮のランゲルハンス細胞、真皮および扁桃重層扁平上皮の指状突起細胞を検出します。Clone MTB1抗体は、扁桃胚中心の周囲にある一部のリンパ球も検出することがあるため、CD1b抗原との交差反応性が示唆されます。

Disclaimer

CD1a is recommended for the detection of specific antigens of interest in normal and neoplastic tissues, as an adjunct to conventional histopathology using non-immunologic histochemical stains.

製品

製品

CD1A-235-L-CE-H
???2102?NCL-L-CD1a-235-H,CD1a,MTB
在庫を確認する
or REQUEST a bulk quote.
CD1A-235-L-CE
NCL-L-CD1a-235,CD1a,MTB1,1mL
在庫を確認する
PA0235
CD1a
在庫を確認する
CD1A-235-L-U
1ml NCL-L-CD1a-235
在庫を確認する
PA0235-U
7ml CD1a Bond RTU Primary
在庫を確認する

ダウンロード

ダウンロード

CD1A-235-L-CE-H

CD1A-235-L-CE

PA0235

CD1A-235-L-U

PA0235-U

Recently Viewed