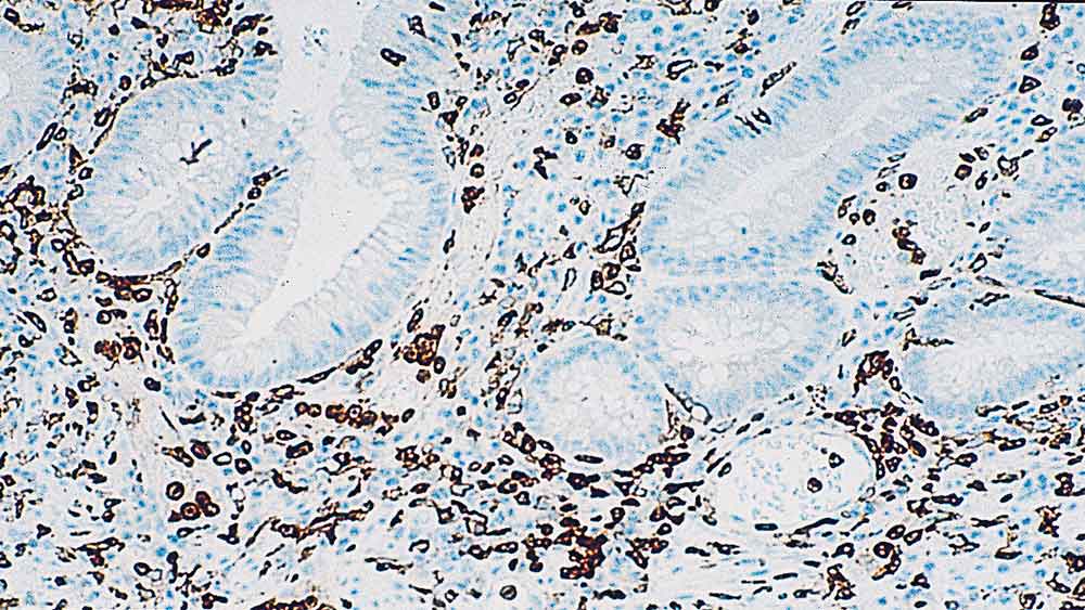
Human colon, ulcerative colitis: immunohistochemical staining for CD16. Note intense membrane staining of infiltrating natural killer cells, granulocytes and activated macrophages. CD16: clone 2H7

CD16

Antigen Background

CD16は、分子量50-70kDの膜タンパクで、別名FcγRIIIと呼ばれ、IgGの低親和性Fcレセプターとして機能しています。CD16は、NK細胞、顆粒球、活性化マクロファージ、α/βもしくはγ/δ T 細胞レセプターのどちらかを発現しているT細胞サブセットに発現し、多形核細胞ではGPI-アンカータンパクとしておよびNK細胞では膜貫通タンパクとして存在しています。

Disclaimer

CD16 is recommended for the detection of specific antigens of interest in normal and neoplastic tissues, as an adjunct to conventional histopathology using non-immunologic histochemical stains.

製品

製品

CD16-L-CE
NCL-L-CD16,CD16,2H7,1mL
在庫を確認する
CD16-L-U
1ml NCL-L-CD16
在庫を確認する

ダウンロード

ダウンロード

CD16-L-CE

CD16-L-U

Recently Viewed