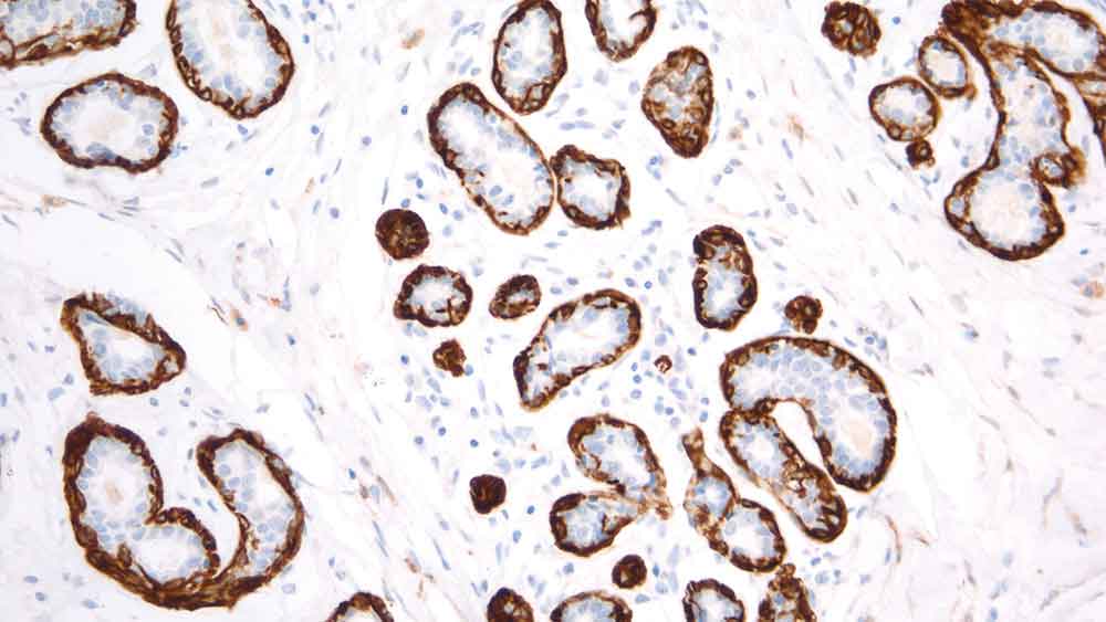
Human prostate: immunohistochemical staining for Calponin (Basic). Note staining of basal cells. Calponin (Basic): clone 26A11

Calponin (Basic)

Antigen Background

塩基性Calponinは34kDのタンパクで、N末端領域は酸性および中性Calponinと高い相同性を示します。塩基性Calponinは、平滑筋収縮の調節に関与すると考えられるアクチン、トロポミオシンおよびカルモジュリン結合タンパクです。塩基性Calponinの発現は平滑筋細胞に限定されることが報告されており、発生過程の収縮型フェノタイプのマーカーです。このタンパクが失われると、血管平滑筋細胞は脱分化型に転換し、これがバルーン血管形成術後の冠動脈アテローム動脈硬化と再狭窄における重要機序となっています。塩基性Calponinは、細胞表面のアクチンを介してその作用を発揮し、それによって腫瘍細胞の増殖、形質転換および転移能に影響を及ぼすと考えられています。塩基性Calponin mRNAは前立腺、腸、大動脈の平滑筋に発現しており、中性および酸性CalponinのmRNAは平滑筋組織以外に、心臓、胎盤、肺、腎臓、膵臓、脾臓、精巣および卵巣などの非平滑筋組織にも発現しています。

Disclaimer

Calponin (Basic) is recommended for the detection of specific antigens of interest in normal and neoplastic tissues, as an adjunct to conventional histopathology using non-immunologic histochemical stains.

製品

製品

PA0416-U
7ml Calponin B Bond RTU Primar
在庫を確認する
PA0416
Xalponin (Basic)
在庫を確認する

ダウンロード

ダウンロード

PA0416-U

PA0416

Recently Viewed