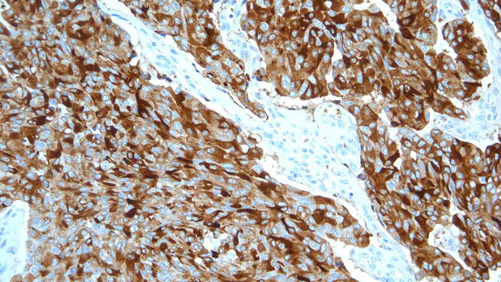
Human medullary thyroid carcinoma: immunohistochemical staining for Calcitonin. Calcitonin: clone CL1948

Calcitonin

Antigen Background

Calcitonin(CT)は32アミノ酸からなるペプチドで、甲状腺の傍濾胞細胞(C細胞)で合成されます。Calcitonin は、その受容体を介して、破骨細胞による骨吸収を阻害し、腎臓でのカルシウム再吸収および腸でのカルシウム吸収を減少させます。すなわち、Calcitonin の作用は、副甲状腺ホルモンとは拮抗的に血清カルシウム量を低下させることです。Calcitonin遺伝子の転写物は、強力な血管拡張因子と考えられているCalcitonin遺伝子関連ペプチド(CGRP)もコードしています。産生された転写物の組織特異性は、CT/CGRP遺伝子の転写物の選択的スプライシングに依存します。甲状腺の傍濾胞細胞では、95%のCT/CGRPがプロセシングを受けて翻訳され、CTが産生されますが、神経細胞では99%のCT/CGRP RNAがCGRPに翻訳されます。甲状腺C細胞からは、内分泌腫瘍である甲状腺髄様癌(MTC; 75%は散発性、25%は遺伝性)が発生します。家族性MTCはC細胞過形成(CCH)と関連していますが、散発性MTCは関連していないと考えられています。しかし、一般的にCCHは正常甲状腺、甲状腺炎あるいは濾胞性腫瘍の20-30%に存在しています。

Disclaimer

Calcitonin is recommended for the detection of specific antigens of interest in normal and neoplastic tissues, as an adjunct to conventional histopathology using non-immunologic histochemical stains.

製品

製品

PA0406-U
7ml Calcitonin Bond RTU Prim
在庫を確認する
CALCITONIN-L-CE
NCL-L-CALCITONIN,Calcitonin,CL1948,1mL
在庫を確認する
PA0406
Calcitonin
在庫を確認する
CALCITONIN-L-U
1ml NCL-L-Calcitonin
在庫を確認する

ダウンロード

ダウンロード

PA0406-U

CALCITONIN-L-CE

PA0406

CALCITONIN-L-U

Recently Viewed