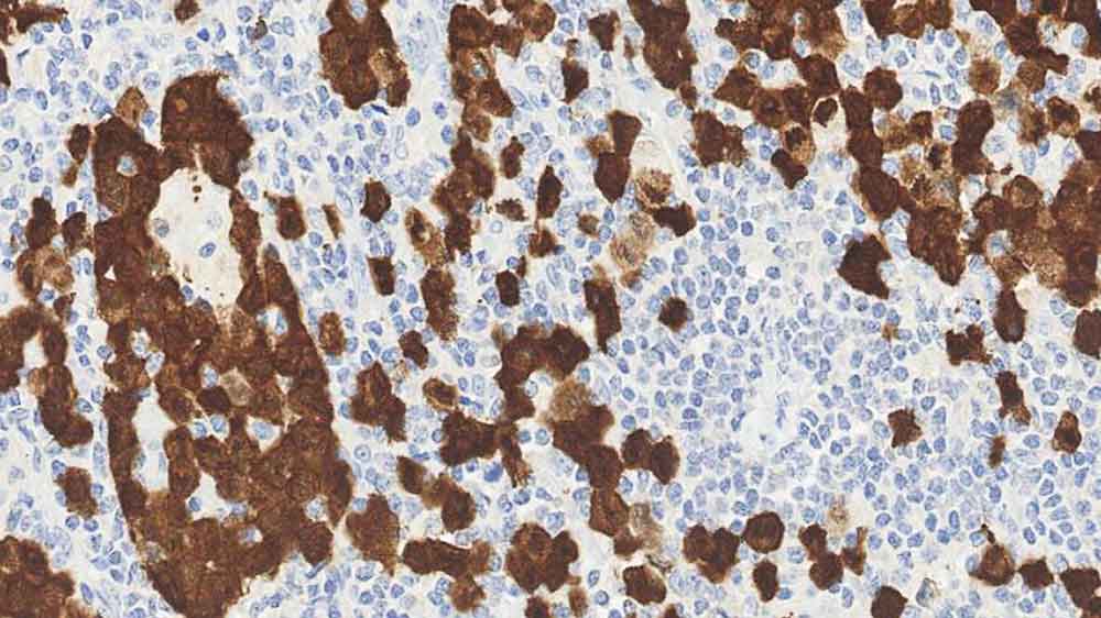
Anaplastic large cell lymphoma: immunohistochemical staining for ALK. Note the strong nuclear and cytoplasmic staining in the neoplastic cells. ALK: clone 5A4

ALK

Antigen Background

Anaplastic Large Cell Lymphoma(ALCL)は、通常、大型の多形性細胞で構成されており、CD30抗原およびEpithelial membrane antigen(EMA)を発現するこ とが報告されています。これらの腫瘍細胞は若年層に発生する傾向があり、しばしば皮膚などのリンパ節外にも病変が認められます。t (2;5)(p23;q35) 転座により、Nucleophosmin(NPM)遺伝子の一部とAnaplastic Lymphoma Kinase(ALK)遺伝子の細胞質ドメインが接合したNPM-ALK遺伝子が形成され、キメラタンパクp80が生じます。ALCLは、若年者にみられる非ホジキンリンパ腫の約25%を占め、その 3分の1が染色体転座を伴っています。

Product Specific Information

BOND用希釈抗体(Code No.PA0306)は、リンパ腫でのALK検出に適した製品となっております。肺癌でのALK検出には、濃縮抗体をリンパ腫の場合より濃い濃度で、さらに抗原賦活処理もpH9.0 EDTA緩衝液のご使用をお奨めします。

Disclaimer

ALK is recommended for the detection of specific antigens of interest in normal and neoplastic tissues, as an adjunct to conventional histopathology using non-immunologic histochemical stains.
 

製品

製品

ALK-L-CE-H
NCL-L-ALK-H,ALK(CD246),5A4,0.5mL
在庫を確認する
PA0831
Anaplastic Lymphoma Kinase (ALK, CD246)
在庫を確認する
ALK-L-H-U
0.5ml NCL-L-ALK
在庫を確認する
PA0831-U
7 mL ALK (5A4) BOND RTU Primary
在庫を確認する

ダウンロード

ダウンロード

ALK-L-CE-H

PA0831

ALK-L-H-U

PA0831-U

Recently Viewed