MALT1 (18q21) Break tissue probe hybridized to paraffin embedded material (2RG).
MALT1 (18q21) Break tissue probe hybridized to paraffin embedded material (2RG).
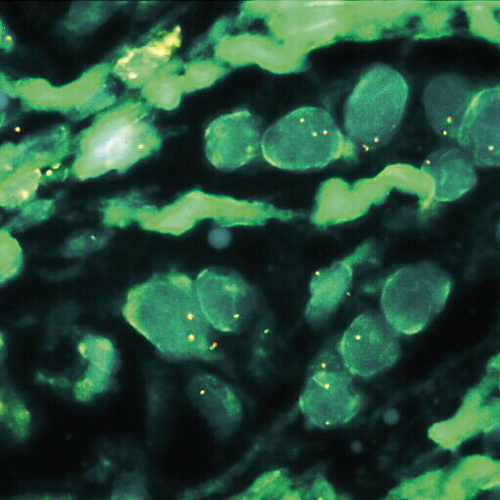
IVD MALT1 Break (tissue)
Low grade malignant lymphomas arising from mucosa associated lymphoid tissue (MALT) represent a distinct clinicopathological entity. The three major translocations seen in MALT lymphomas are t(11;18)(q21;q21)/API2-MALT1, t(14;18)(q32;q21)/IGH-MALT1 and t(1;14)(p22;q32)/IGH-BCL10. A break or split probe for MALT1 (18q21) is best used to analyze translocation of the MALT1 gene on formalin fixed paraffin embedded tissue for routine clinical diagnosis. The MALT1 (18q21) Break probe is optimized to detect translocations involving the MALT1 gene region at 18q21 in a dual-color, split assay. Kreatech has developed this probe for the specific use on cell material (KBI-10608), or for the use on tissue (KBI-10731).
References: Morgan et al, 1999, Cancer Res, 59; 6205-6213. Dierlamm et al, 2000, Blood, 96; 2215-2218.
ダウンロード
ダウンロード
The items in your Quote cart has reached the maximum allowed items limit.
Successfully added to cart
added to cart.
No item added to cart
The replacement product is no longer available, no item has been added to cart.
If you have any questions, contact us at 1.844.534.2262