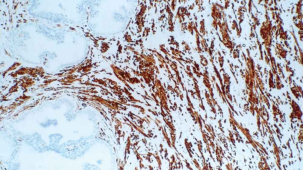
Human prostate: immunohistochemical staining for myosin heavy chain. Note intense staining of muscle fibers. Myosin Heavy Chain (smooth muscle): clone S131

Myosin Heavy Chain Antibodies

Antigen Background

Myosin is a contractile muscle specific protein composed of two heavy and four light chains. The myosin heavy chain has many isoforms which are specific for different muscles or fiber types, some of which are developmentally regulated. The range of myosin heavy chain antibodies may prove useful for investigating development of intrafusal and extrafusal muscle fibers and the course of muscle fiber regeneration. At the ultrastructural level, antibodies can reveal architectural details of the myofilament as well as the cytoplasmic and membrane sites of new myosin integration.

Disclaimer

Myosin Heavy Chain Antibodies are recommended for the detection of specific antigens of interest in normal and abnormal tissues, as an adjunct to conventional histopathology using non-immunologic histochemical stains.

製品

製品

MHCD
NCL-MHCd:Myosin Heavy Chain deve
MHCF
NCL-MHCf:Myosin Heavy Chain fast
MHCN
NCL-MHCn:Myosin Heavy Chain neo:
MHCS
NCL-MHCs:Myosin Heavy Chain slow
PA0493
Myosin Heavy Chain (smooth muscle)

ダウンロード

ダウンロード

MHCD

MHCF

MHCN

MHCS

PA0493

Recently Viewed