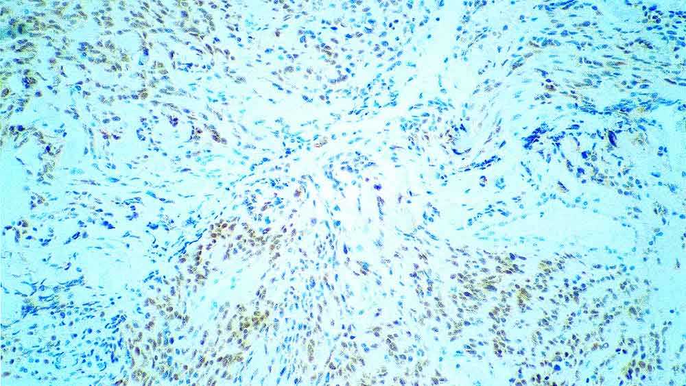
Human rhabdomyosarcoma: immunohistochemical staining for MyoD1 protein. Note staining of a proportion of tumor cell nuclei. MyoD1: clone 5.8A

MyoD1 (Rhabdomyosarcoma Marker)

Antigen Background
MyoD1 recognizes an epitope near the C-terminus of the MyoD1 protein (amino acids 180 to 189).

Disclaimer
MyoD1 (Rhabdomyosarcoma Marker) is recommended for the detection of specific antigens of interest in normal and neoplastic tissues, as an adjunct to conventional histopathology using non-immunologic histochemical stains.

製品

製品

MYOD1-L-U
1ml NCL-L-MyoD1

ダウンロード

ダウンロード

MYOD1-L-U

Recently Viewed