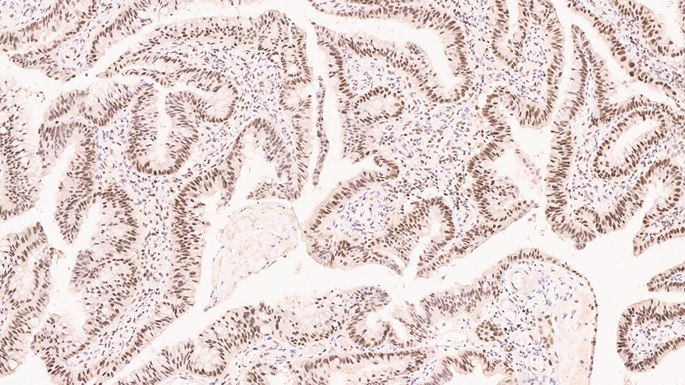
Colorectal carcinoma: immunohistochemical staining for mismatch repair protein (PMS2). Note nuclear staining in a high proportion of the malignant cells. Mismatch Repair Protein (PMS2): clone EP51.

Mismatch Repair Protein (PMS2)

Antigen Background

Postmeiotic segregation increased 2 (PMS2), also known as PMS1 protein homologue 2, is a DNA mismatch repair (MMR) protein. The PMS2 gene family members are found in clusters on chromosome 7. PMS2 is a 96 kDa mismatch repair protein closely related to MLH1, MLH3 and PMS1, which are homologs of the bacterial mutL gene. The PMS2 protein forms a heterodimer with the MLH1 protein which is then activated in the presence of ATP; this complex coordinates the binding of other proteins that repair DNA errors arising during cell preparation for cell division.

The loss of PMS2 expression in tumors can be helpful in identifying hMLH1 mutation carriers and identifies their suitability for mutation analysis.

PMS2 gene defects account for a small but significant proportion of colorectal cancers and for a substantial proportion of tumors with microsatellite instability.

Disclaimer

Mismatch Repair Protein (PMS2) is recommended for the detection of specific antigens of interest in normal and neoplastic tissues, as an adjunct to conventional histopathology using non-immunologic histochemical stains.

製品

製品

PMS2-L-CE
NCL-L-PMS2,PMS2,M0R4G,1mL
PA0991
Mismatch Repair Protein (PMS2)

ダウンロード

ダウンロード

PMS2-L-CE

PA0991

Recently Viewed