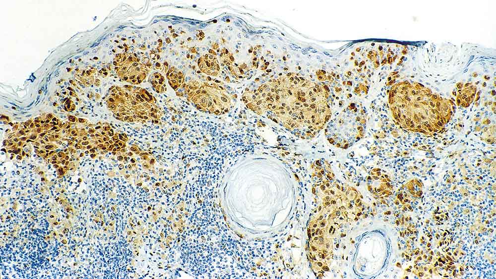
Human malignant melanoma: immunohistochemical staining for Microphthalmia Transcription Factor. Note nuclear staining of melanoma cells. Microphthalmia Transcription Factor: clone 34CA5

Microphthalmia Transcription Factor (MITF)

Antigen Background

Microphthalmia transcription factor (MITF) gene product, a nuclear transcription factor of the basic-helix-loop-helix type, is thought to play a role in the regulation of genes encoding the enzymes necessary for melanogenesis. These include tyrosinase, TRP-1 and TRP-2. MITF is critical for the embryonic development and postnatal viability of melanocytes. The melanocyte-specific isoform of microphthalmia transcription factor MITF-M, is reported to be expressed in normal and malignant melanocytes. The other isoforms, MITF-A, MITF-C and MITF-H, differ structurally at the N-terminus from MITF-M.

Product Specific Information

Clone 34CA5 is reported to be reactive with the MITF-M isoform.

製品

製品

MITF-L
NCL-L-MITF:MITF:1mL

ダウンロード

ダウンロード

MITF-L

Recently Viewed