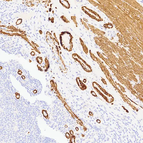
Normal Appendix: h-Caldesmon clone BSB-19.

H-Caldesmon

Antigen Background
h‐Caldesmon is an actin and tropomyosin‐binding protein thought to regulate the contraction and relaxation of smooth muscle cells (SMC). It exists in two isoforms. The heavy isoform, h‐Caldesmon, is expressed in differentiated contractile SMC, whereas the light isoform, l‐Caldesmon, is variably expressed. As such, h‐Caldesmon is a specific marker for SMC and could aid in the differential diagnosis of tumors with a SMC component (e.g. leiomyosarcoma) from other tumors with smooth muscle‐like differentiation e.g. myofibroblastic tumors.

Disclaimer
h‐Caldesmon is recommended for the detection of specific antigens of interest in normal and neoplastic tissues, as an adjunct to conventional histopathology using non‐immunologic histochemical stains.

製品

製品

PA0713-U
30ml ER Bond RTU Primary

ダウンロード

ダウンロード

PA0713-U

Recently Viewed