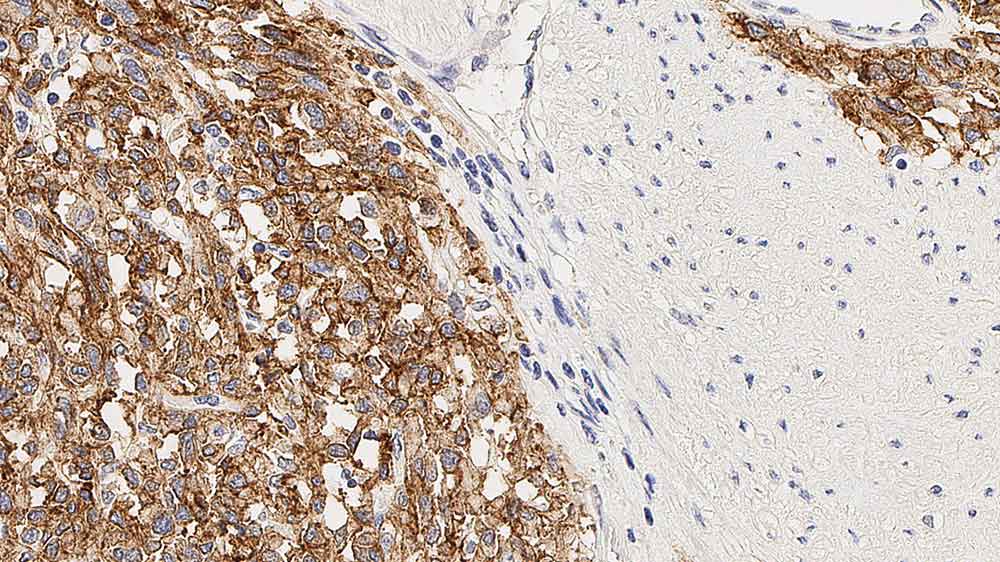
Human colon, gastrointestinal stromal tumor: immunohistochemical staining for DOG-1. Note membrane staining of neoplastic cells. DOG-1: clone K9

DOG-1

Antigen Background

DOG-1は986アミノ酸からなる機能未知のタンパクで、主に消化管間質腫瘍(GIST)の細胞膜に発現しています。形態学的にGISTと混同されやすい他の軟部組織腫瘍に発現するのはまれです。DOG-1 免疫反応性は、GISTの97.8%(KIT陰性含む)に認められると報告されています。DOG-1免疫反応性は、KIT 抗原を発現しない血小板由来増殖因子受容体Alphaの変異体も含めてGISTの診断に役立つことが示唆されています。

Product Specific Information

Clone K9 抗体の染色には、PBSをベースとした洗浄用緩衝液および抗体希釈液を使用すると、背景染色が強くなるため、弊社製品またはTBSをベースとした洗浄用緩衝液および抗体希釈液をご使用ください。

製品

製品

DOG-1-L
?CE??NCL-L-DOG-1,DOG-1,K9,1mL
DOG-1-L-CE
NCL-L-DOG-1,DOG-1,K9,1mL
PA0219
DOG-1

ダウンロード

ダウンロード

DOG-1-L

DOG-1-L-CE

PA0219

Recently Viewed