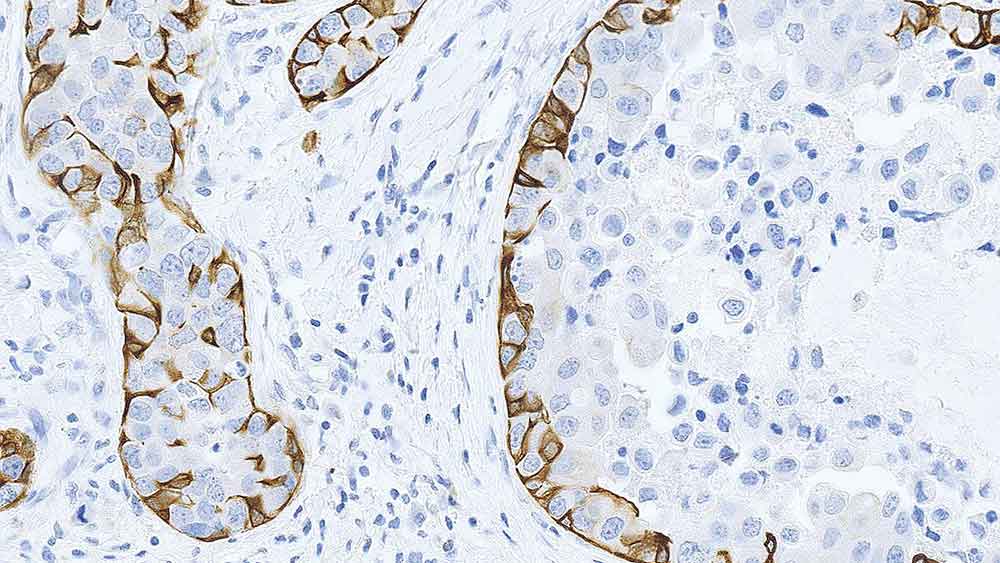
Human breast, ductal carcinoma in situ: immunohistochemical staining for Cytokeratin 5. Note the intense staining of myoepithelial cells. Cytokeratin 5: clone XM26

Cytokeratin 5

Antigen Background

Cytokeratinは、上皮細胞に存在する細胞骨格タンパクのファミリーです。それらは協調的にペアで合成され、それぞれの上皮細胞にはCytokeratin群の複数種のメンバーが発現しています。Cytokeratin は集合して、タイプ I(酸性)およびタイプ II(塩基性)ポリペプチドから構成されるヘテロ二量体となり、高次のテトラマーおよび原線維を形成します。ヒト表皮の基底細胞は、酸性Cytokeratin 14と塩基性Cytokeratin 5を発現しています。Cytokeratin 5は58kDのタンパクで、Cytokeratin 6と密接に関連しています。両者は同じ組織分布を示し、さまざまな割合で、気管上皮、表皮の基底細胞、毛嚢、皮膚の皮脂腺と汗腺、乳腺の導管細胞、前立腺の基底細胞、尿路上皮、膣および子宮頸管粘膜に加えて、舌粘膜などの多くの非角化重層扁平上皮にも認められます。Cytokeratin 5と6は、基底細胞上皮腫、皮膚・舌・喉頭蓋・直腸肛門領域の扁平上皮癌にも発現しています。Cytokeratin 5遺伝子の12q11-q13における点突然変異は、さまざまなタイプの単純性表皮水疱症を引き起こすことがあります。Cytokeratin 5は、ほとんどの上皮型および二相型中皮腫にも発現することが報告されています。

Product Specific Information

Clone XM26 is specific for the 58 kD intermediate filament protein known as cytokeratin 5. It is not cross-reactive with cytokeratin 6.

Disclaimer

Cytokeratin 5 is recommended for the detection of specific antigens of interest in normal and neoplastic tissues, as an adjunct to conventional histopathology using non-immunologic histochemical stains.

製品

製品

CK5-L-CE
NCL-L-CK5,Cytokeratin 5,XM26,1mL
PA0468
Cytokeratin 5

ダウンロード

ダウンロード

CK5-L-CE

PA0468

Recently Viewed