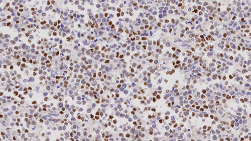
Human mantle cell lymphoma: nuclear staining of the malignant post-germinal B lymphocytes. Cyclin D1: clone EP12

Cyclin D1

Antigen Background

Cyclin D は、主に細胞周期のG1期にサイクリン依存性キナーゼ活性を制御することで機能するタンパクファミリーです。Cyclin D1は36kDのタンパクで、PRAD1やbcl-1としても知られています。Cyclin D1発現のピークは、細胞周期におけるmid G1期からlate G1 期のチェックポイントにみられます。Cyclin D1遺伝子は11q13に位置し、マントル細胞リンパ腫では染色体転座t(11 ; 18)により過剰発現すると報告されています。

Disclaimer

Cyclin D1 is recommended for the detection of specific antigens of interest in normal and neoplastic tissues, as an adjunct to conventional histopathology using non-immunologic histochemical stains.

製品

製品

CYCLIND1-GM-L
?CE??NCL-L-CYCLIND1-GM,Cyclin D1,P2D11F1
CYCLIND1-GM-L-CE
NCL-L-CYCLIND1-GM,Cyclin D1,P2D11F11,1mL
PA0046
PA0046,Cyclin D1,EP12,7mL

ダウンロード

ダウンロード

CYCLIND1-GM-L

CYCLIND1-GM-L-CE

PA0046

Recently Viewed