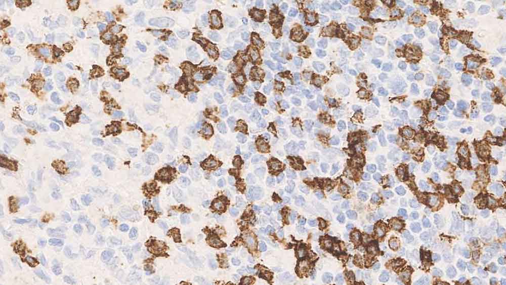
Human lymph node, T cell lymphoma: immunohistochemical staining for CD8. Note the neoplastic cells show a moderate to strong, distinct membrane staining reaction. CD8: clone 4B11

CD8

Antigen Background

CD8 は2鎖から構成され、分子量は32kDです。ヒト末梢血リンパ球の約20-35%を占めるcytotoxic/suppressor T細胞のサブセットに認められます。CD8は、ナチュラルキラー細胞、80%の胸腺細胞、30%の末梢血Null細胞、15-30%の骨髄細胞に検出されることが報告されています。

Disclaimer

CD8 is recommended for the detection of specific antigens of interest in normal and neoplastic tissues, as an adjunct to conventional histopathology using non-immunologic histochemical stains.

製品

製品

CD8-4B11-L
?CE??
CD8-4B11-L-CE
NCL-L-CD8-4B11,CD8,4B11,1mL
PA0183
CD8

ダウンロード

ダウンロード

CD8-4B11-L

CD8-4B11-L-CE

PA0183

Recently Viewed