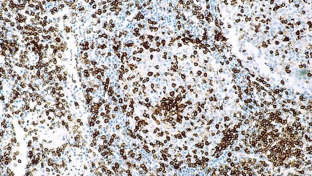
Human tonsil: immunohistochemical staining with CD45RO: clone UCHL1

CD45RO

Antigen Background

CD45ROは180kDのCD45アイソフォームで、末梢血Tリンパ球の48%、CD4陽性リンパ球の37%、胸腺細胞の80% およびT細胞性悪性腫瘍の大部分に発現することが報告されています。単球および顆粒球では細胞表面に、組織マクロファージでは細胞質に発現が認められます。

Disclaimer

CD45RO is recommended for the detection of specific antigens of interest in normal and neoplastic tissues, as an adjunct to conventional histopathology using non-immunologic histochemical stains.

製品

製品

UCHL1-L
NCL-L-UCHL1:CD45RO:1mL
PA0146
CD45RO

ダウンロード

ダウンロード

UCHL1-L

PA0146

Recently Viewed