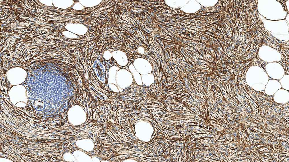
Dermatofibrosarcoma protuberans: immunohistochemical staining for CD34. Note the staining of neoplastic spindle cells. CD34: clone QBEnd/10

CD34

Antigen Background

CD34は、分子量110kDの単鎖膜貫通型糖タンパクです。CD34は、ヒトリンパ系および骨髄系前駆細胞に選択的に発現しています。また、血管内皮にも発現しています。

Product Specific Information

Enzyme digestion of paraffin sections is recommended with clone QBEnd/10 in perference to heat induced epitope retrieval as it produces stronger staining and reduces background elastin staining

Disclaimer

CD34 (Endothelial Cell Marker) is recommended for the detection of specific antigens of interest in normal and neoplastic tissues, as an adjunct to conventional histopathology using non-immunologic histochemical stains.

製品

製品

END-L-H
?CE?/????NCL-L-END-H,CD34,QBEnd/10,0
END-L-CE
NCL-L-END,CD34,QBEnd/10,1mL
END-L
?CE??NCL-L-END,CD34,QBEnd/10,1mL
PA0354
PA0354,CD34,QBEnd/10,30mL
PA0212
CD34

ダウンロード

ダウンロード

END-L-H

END-L-CE

END-L

PA0354

PA0212

Recently Viewed