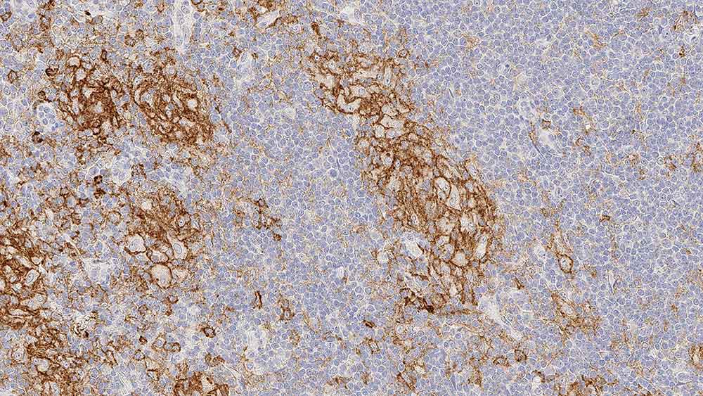
Human lymph node, anaplastic lymphoma: immunohistochemical staining for CD33. Note membrane staining of neoplastic cells. CD33: clone PWS44

CD33

Antigen Background

CD33は、骨髄単球性前駆体細胞でCD34の後に発現することが報告されています。骨髄系細胞および単球系細胞に発現しますが、顆粒球には存在しないことが報告されています。CD33の発現は、単球、前骨髄球、骨髄芽球、一部の未分化型急性白血病、急性リンパ芽球性白血病に限定されると報告されています。CD34

Disclaimer

CD33 is recommended for the detection of specific antigens of interest in normal and neoplastic tissues, as an adjunct to conventional histopathology using non-immunologic histochemical stains.

製品

製品

CD33-L
?CE??NCL-L-CD33,CD33,PWS44,1mL
CD33-L-CE
NCL-L-CD33,CD33,PWS44,1mL
PA0555
CD33

ダウンロード

ダウンロード

CD33-L

CD33-L-CE

PA0555

Recently Viewed