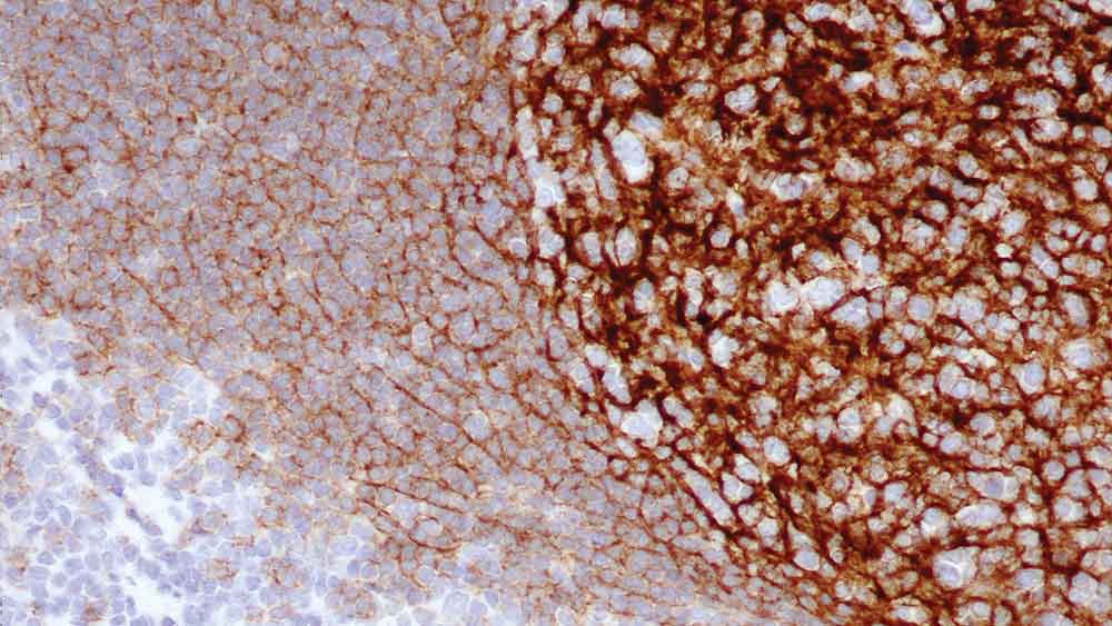
Human tonsil: immunohistochemical staining for CD21 antigen. Note intense membrane staining of follicular dendritic cells. CD21: clone 2G9

CD21

Antigen Background

CD21は、分子量140kDのI 型膜内在性糖タンパクで、補体C3dフラグメントの受容体として機能します。CD21は成熟B細胞に存在しており、細胞内部への増殖シグナルの伝達に関与し、Epstein-Barrウイルスの受容体として作用します。CD21は、B細胞性慢性リンパ性白血病およびT細胞性急性リンパ性白血病で認められることが報告されていますが、Tリンパ球、単球および顆粒球には存在しません。また、濾胞樹状細胞、濾胞性リンパ腫やマントル細胞リンパ腫に発現することも報告されています。

製品

製品

CD21-2G9-L-CE
NCL-L-CD21-2G9,CD21,2G9,1mL
CD21-2G9-L
?CE??NCL-L-CD21-2G9,CD21,2G9,1mL
PA0171
CD21

ダウンロード

ダウンロード

CD21-2G9-L-CE

CD21-2G9-L

PA0171

Recently Viewed