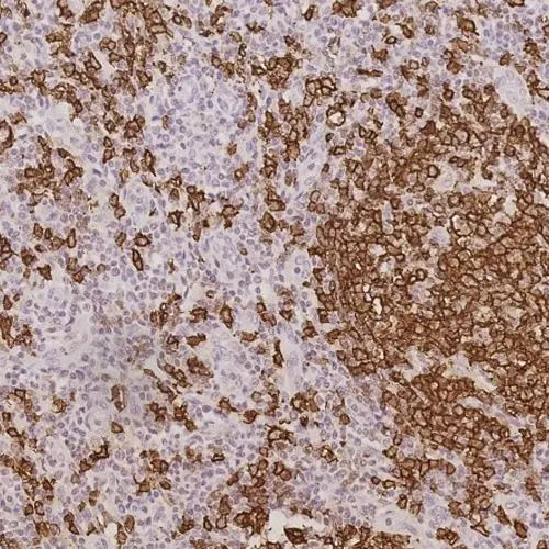
Follicular B cell lymphoma. immunohistochemistry staining for CD20. Note the strong membranous staining. CD20: Clone L26

CD20

Product Specific Information

CCD20は、約33kDの非グリコシル化リン酸化タンパクです。正常および悪性のヒトB細胞に発現しており、B細胞の活性化と分化において受容体として機能すると考えられています。CD20は、末梢血の正常B細胞、リンパ節、脾臓、扁桃、骨髄、急性白血病および慢性リンパ性白血病に発現すると報告されています。

Disclaimer

CD20 is recommended for the detection of specific antigens of interest in normal and neoplastic tissues, as an adjunct to conventional histopathology using non-immunologic histochemical stains.

製品

製品

CD20-L26-L-CE
NCL-L-CD20-L26,CD20,L26,1mL(?)
PA0200
PA0200,CD20,L26,7mL(?)
PA0359
PA0359,CD20,L26,30mL(?)

ダウンロード

ダウンロード

CD20-L26-L-CE

PA0200

PA0359

Recently Viewed