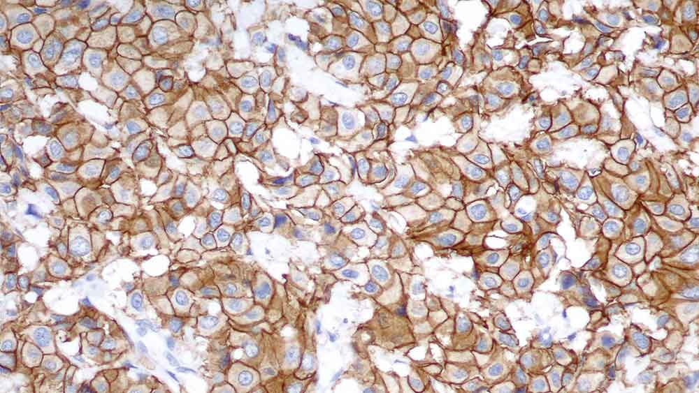
Human breast: invasive ductal carcinoma: immunohistochemical staining for c-erbB-2 Oncoprotein (HER-2): clone CB11

c-erbB-2 Oncoprotein (HER-2)

Antigen Background

c-erbB-2 Oncoproteinは、上皮増殖因子受容体と構造的に密接な関連を示し、細胞表面増殖因子受容体ファミリーに属します。c-erbB-2 Oncoproteinは、一部の乳腺および他臓器の腺癌、尿路上皮癌に検出されると報告されています。c-erbB-2 Oncoproteinは、乳腺、胃および卵巣を含めた正常のヒト胎児組織から成人組織にわたり、さまざまなタイプの細胞に幅広く存在しています。

Product Specific Information

Clone CB11 抗体はc-erbB-2 の細胞内ドメインを、Clone 10A7 抗体はc-erbB-2の細胞外ドメインを認識します。

Disclaimer

c-erbB-2 Oncoprotein (HER-2) Antibodies are recommended for the detection of specific antigens of interest in normal and neoplastic tissues, as an adjunct to conventional histopathology using non-immunologic histochemical stains.

製品

製品

CB11-L-CE
(?)NCL-L-CB11,HER-2(Internal),CB11,1mL
CBE-356-L-CE
NCL-L-CBE-356,HER-2(External),10A7,1mL

ダウンロード

ダウンロード

CB11-L-CE

CBE-356-L-CE

Recently Viewed