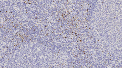
Human Tonsil: immunohistochemistry staining of LAG-3. LAG-3: clone 12H6

LAG-3

Antigen Background
LAG-3 (Lymphocyte Activation gene 3, CD223) is a 503 amino acid transmembrane protein. It plays a role in the negative regulation of cellular proliferation & activation of T-cells in a similar manner to CTLA-4 and PD-1. LAG3 plays a role in the exhaustion of T-cell responses in cancer, and is therefore the subject of extensive research in conjunction with other related immunomodulatory markers.

Disclaimer
LAG-3 is recommended for the detection of specific antigens of interest in normal and neoplastic tissues, as an adjunct to conventional histopathology using non-immunologic histochemical stains.

Prodotti

Prodotti

PA0300-U
7mL LAG-3 (12H6) BOND RTU Primary
Disponibilità
PA0300
7mL LAG-3 (12H6) BOND RTU Primary
Disponibilità

Downloads

Downloads

PA0300-U

PA0300

Recently Viewed