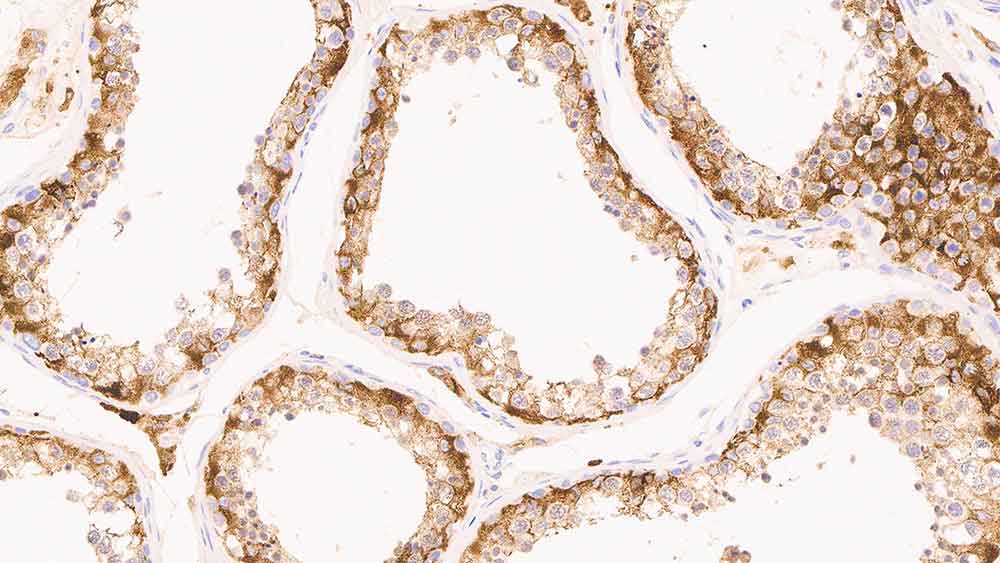
Human testis: immunohistochemical staining for inhibin alpha showing cytoplasmic staining of Sertoli cells. Inhibin Alpha: clone R1

Inhibin Alpha

Antigen Background

Inhibins and activins are members of the transforming growth factor beta (TGFβ) family of cytokines. Inhibins are heterodimers consisting of a common α-subunit linked to either a βA subunit ( α-βA, forming inhibin A) or a βB subunit ( α-βB, forming inhibin B). Activins share the β-subunit with the inhibins and may be homo or heterodimers of β-subunits forming activin A (βA-βA), activin AB (βA-βB) or activin B (βB-βB). The expression of the α-subunit, and therefore of inhibins appears to be more restricted than that of the β-subunit, and therefore of activins. Inhibins and activins play a role in the regulation of pituitary follicle stimulating hormone (FSH) secretion. The actions of inhibins and activins are thought to oppose one another, with inhibins suppressing FSH secretion and activins stimulating FSH secretion. Inhibins are secreted by granulosa cells in female follicles and Sertoli cells of the testis in the male. Inhibins are thought to have local regulatory roles in a variety of tissues, in addition to the ovary, including the brain, adrenal glands, bone marrow, fetus and placenta.

Disclaimer

Inhibin Alpha is recommended for the detection of specific antigens of interest in normal and neoplastic tissues, as an adjunct to conventional histopathology using non-immunologic histochemical stains.

Prodotti

Prodotti

PA0488-U
7ml Inhibin A (R1) Bond RTU Primary
Disponibilità
INHIBINA-L-CE
1ml NCL-L-InhibinA
Disponibilità
PA0488
7ml Inhibin A (R1) Bond RTU Primary
Disponibilità
INHIBINA-L-U
1ml NCL-L-InhibinA
Disponibilità

Downloads

Downloads

PA0488-U

INHIBINA-L-CE

PA0488

INHIBINA-L-U

Recently Viewed