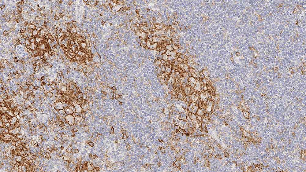
Human lymph node, anaplastic lymphoma: immunohistochemical staining for CD33. Note membrane staining of neoplastic cells. CD33: clone PWS44

CD33

Antigen Background

CD33 antigen is reported to appear on myelomonocytic precursor cells after CD34 antigen expression. It then continues to be expressed on both the myeloid and monocyte lineages, although it is reported to be absent on granulocytes. It has been reported that expression of CD33 is restricted to monocytes, premyelocytes, myeloid blasts, some acute undifferentiated leukemias and acute lymphoblastic leukemias.

Disclaimer

CD33 is recommended for the detection of specific antigens of interest in normal and neoplastic tissues, as an adjunct to conventional histopathology using non-immunologic histochemical stains.

Prodotti

Prodotti

PA0555-U
7ml CD33 Bond RTU Primary
Disponibilità
CD33-L
1ml NCL-L-CD33
Disponibilità
CD33-L-CE
CD33 1mL
Disponibilità
PA0555
7ml CD33 Bond RTU Primary
Disponibilità
CD33-L-U
1ml NCL-L-CD33
Disponibilità

Downloads

Downloads

PA0555-U

CD33-L

CD33-L-CE

PA0555

CD33-L-U

Recently Viewed