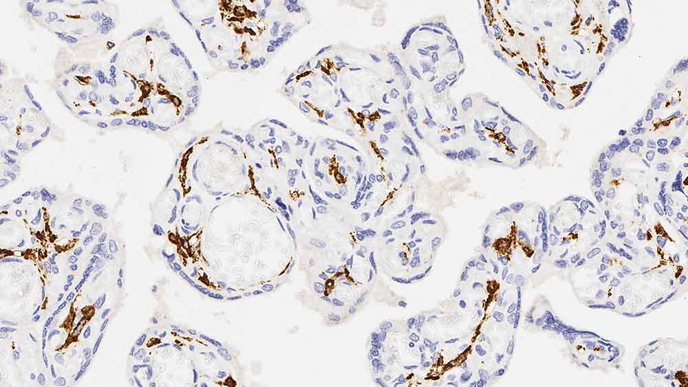
Human placenta: immunohistochemical staining for CD163. Note cytoplasmic staining of Hofbauer cells. CD163: clone 10D6

CD163

Antigen Background

The CD163 molecule is a type I membrane protein also known as M130 antigen, Ber-Mac3, Ki-M8 or SM4. CD163 protein is restricted in its expression to the monocytic/macrophage lineage. It is reported to be present on all circulating monocytes and most tissue macrophages except those found in the mantle zone and germinal centers of lymphoid follicles, interdigitating reticulum cells and Langerhans cells. In addition, multi-nucleated cells within inflammatory lesions are reported not to express CD163 protein. The protein is upregulated by glucocorticoids and downregulated by the immunosuppressant cyclosporin A and by phorbol esters, while lipopolysaccharide, an inflammatory mediator, has no influence on expression. It has been proposed that a specific release mechanism of soluble CD163 antigen by human monocytes may play an important role in modulating inflammatory processes.

Disclaimer

CD163 is recommended for the detection of specific antigens of interest in normal and neoplastic tissues, as an adjunct to conventional histopathology using non-immunologic histochemical stains.

Prodotti

Prodotti

CD163-L-CE
1ml NCL-L-CD163
Disponibilità
CD163-L
1ml NCL-L-CD163
Disponibilità
PA0090
7ml CD163 Bond RTU Primary
Disponibilità
CD163-L-U
1ml NCL-L-CD163
Disponibilità
PA0090-U
7ml CD163 Bond RTU Primary
Disponibilità

Downloads

Downloads

CD163-L-CE

CD163-L

PA0090

CD163-L-U

PA0090-U

Recently Viewed