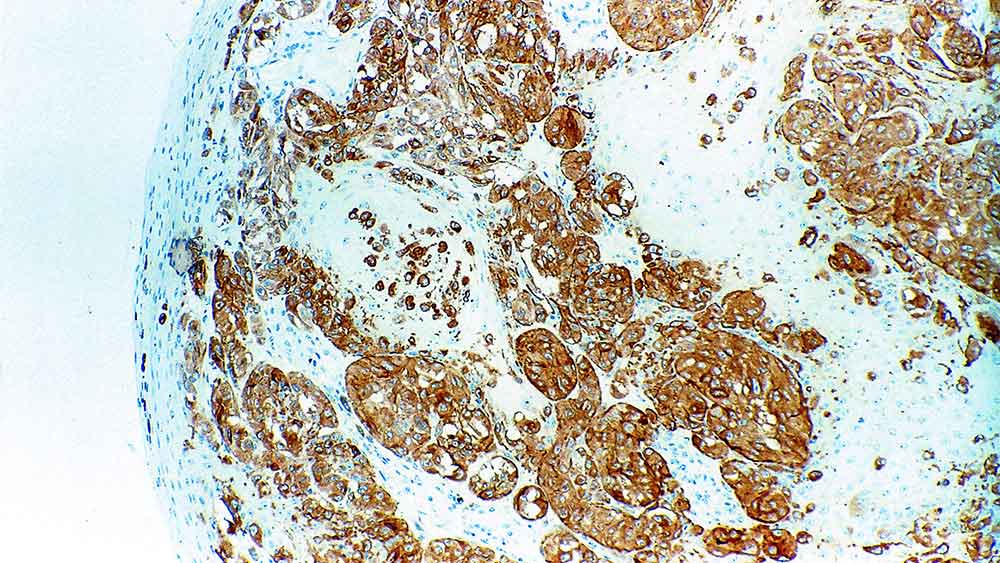
Human malignant melanoma: immunohistochemical staining for Tyrosinase: clone T311

Tyrosinase

Antigen Background

The biosynthesis of melanin in melanocytes involves a family of enzymes, a key member of which is tyrosinase. Tyrosinase deficiency is associated with various forms of albinism and in particular oculocutaneous albinism. L-tyrosinase is the initial substrate for melanin biosynthesis and its conversion to dopaquinone is catalyzed by tyrosinase, whose expression is reported in melanocytes and melanomas.


Disclaimer

Tyrosinase is recommended for the detection of specific antigens of interest in normal and neoplastic tissues, as an adjunct to conventional histopathology using non-immunologic histochemical stains.

Prodotti

Prodotti

TYROS-L-CE
Tyrosinase (liquid primary antibody) 1mL
PA0322
7ml Tyrosinase Bond RTUPrimary

Downloads

Downloads

TYROS-L-CE

PA0322

Recently Viewed