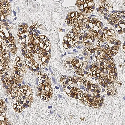
Human parathyroid adenoma: immunohistochemical staining for Parathyroid Hormone. Note membrane/cytoplasmic staining of tumor cells. Parathyroid Hormone: clone 105G7

Parathyroid Hormone

Antigen Background
The parathyroid glands are small, oval, endocrine glands closely associated with the thyroid gland. The parathyroid glands regulate serum calcium and phosphate levels via parathyroid hormone (parathormone). Parathyroid hormone raises serum calcium levels directly, by increasing the rate of osteoclastic reabsorption and promoting breakdown of the bone matrix, and indirectly, by increasing the renal tubular reabsorption of calcium ions and inhibiting the reabsorption of phosphate ions from the glomerular filtrate, and finally, by promoting the absorption of calcium from the small intestine. Parathyroid hormone is the most important regulator of blood calcium levels and is essential to life, whereas calcitonin appears only to provide a complementary mechanism for fine adjustment. Chief cells are the most abundant cells in the parathyroid gland and are responsible for the secretion of parathyroid hormone.

Disclaimer
Parathyroid Hormone (PTH) is recommended for the detection of specific antigens of interest in normal and neoplastic tissues, as an adjunct to conventional histopathology using non-immunologic histochemical stains.

Prodotti

Prodotti

PTH-488-L-CE
1ml NCL-L-PTH-488

Downloads

Downloads

PTH-488-L-CE

Recently Viewed