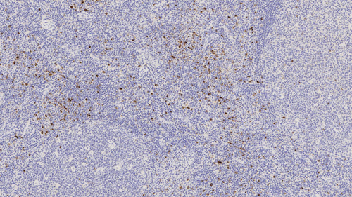
Human Tonsil: immunohistochemistry staining of LAG-3. LAG-3: clone 12H6
Human Tonsil: immunohistochemistry staining of LAG-3. LAG-3: clone 12H6
LAG-3
Antigen Background LAG-3 (Lymphocyte Activation gene 3, CD223) is a 503 amino acid transmembrane protein. It plays a role in the negative regulation of cellular proliferation & activation of T-cells in a similar manner to CTLA-4 and PD-1. LAG3 plays a role in the exhaustion of T-cell responses in cancer, and is therefore the subject of extensive research in conjunction with other related immunomodulatory markers.
Disclaimer LAG-3 is recommended for the detection of specific antigens of interest in normal and neoplastic tissues, as an adjunct to conventional histopathology using non-immunologic histochemical stains.
Prodotti
Prodotti
PA0300
7mL LAG-3 (12H6) BOND RTU Primary
Product is out of stock
Due to manufacturing & supply chain issues, this product is currently unavailable. You may place your order and it will be fulfilled when the product is back in stock. For more help, please reach out to customer service at +1 844 534 2262 or nonurgentcs@leicabiosystems.com
Product is limited in stock
Product availability is limited, but products are in continuous production. Your order will be processed as normal and may take additional days to ship.