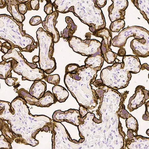
Human placenta: immunohistochemical staining for Epidermal Growth Factor Receptor. High expression of EGFR localized in the trophoblastic layer of the placental villi. Epidermal Growth Factor Receptor: clone EGFR.113

Epidermal Growth Factor Receptor

Background dell'antigene

Il recettore del fattore di crescita epidermico (EGFR) è una proteina transmembranaria di 170 kD, con attività tirosin-chinasica. Sono stati riportati livelli di EGFR più alti in relazione alla trasformazione neoplastica di cellule squamose, ad es. nel carcinoma a cellule squamose di polmone, testa, collo, cute, cervice ed esofago.

L'EGFR potrebbe giocare un ruolo anche nello sviluppo e nella progressione del carcinoma epatocellulare dacché, nei casi di positività all'EGFR, i tassi di recidiva sono elevati. La correlazione è stata similmente riportata in relazione al cancro coloreattale, in cui l'EGFR prodotto dalle cellule tumorali, gioca un importante ruolo su invasività e proliferazione.

La maggior parte degli studi pubblicati riguardanti l'espressione del EGFR nel tumore umano della mammella, ha similmente mostrato un'associazione con l'espressione del EGFR, che è invece inversamente correlata allo stato del recettore per gli estrogeni.

Il clone EGFR.25 è diretto contro il dominio citoplasmatico della molecola del EGFR, mentre il clone EGFR.113 è diretto contro il suo dominio extracellulare.

Prodotti

Prodotti

EGFR-L-CE
Epidermal Growth Fact Rec liq pr ant 1mL

Downloads

Downloads

EGFR-L-CE

Recently Viewed