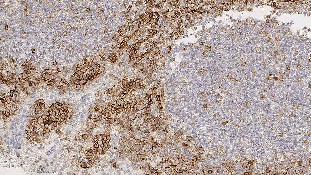
Human tonsil: immunohistochemical staining for CD99. Note membrane staining of vessel endothelium and a subpopulation of lymphocytes. CD99: clone PCB1

CD99

Antigen Background

CD99 is a 32 kDa transmembrane glycoprotein, encoded by the MIC2 gene, which is located in the pseudoautosomal region of the human X and Y chromosomes. Recently, the MIC2 gene has been shown to encode two distinct proteins which are produced by alternative splicing of the CD99 gene transcript and are identified as bands of 30 and 32 kDa (p30/32).

Disclaimer

CD99 is recommended for the detection of specific antigens of interest in normal and neoplastic tissues, as an adjunct to conventional histopathology using non-immunologic histochemical stains.

Prodotti

Prodotti

CD99-187-L-CE
1ml NCL-L-CD99-187

Downloads

Downloads

CD99-187-L-CE

Recently Viewed