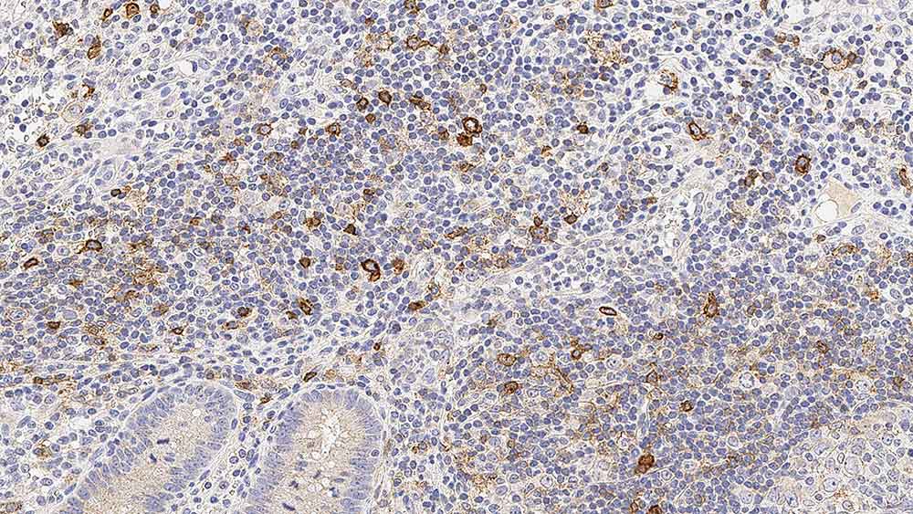
Human appendix: immunohistochemical staining for CD25. Note staining of activated lymphocytes. CD25: clone 4C9

CD25

Antibody Background: 

CD25 antigen, the alpha subunit of interleukin-2 receptor, is a single-chain glycoprotein with a molecular weight of 55 kD. Following the activation of T cells interleukin-2 (IL-2) is rapidly synthesized and secreted. In response to this a subpopulation of T cells expresses high-affinity receptors for IL-2. These cells proliferate, expanding the T cell population which is capable of mediating helper, suppressor and cytotoxic functions. IL-2 receptor is not exclusively found on T cells, and is reported to be expressed on HTLV-transformed T and B cells, EBV-transformed B cells, myeloid precursors and oligodendrocytes. It is absent on thymocytes, resting T cells, non-activated B cells and null cells. IL-2 receptor expression is reported to be associated with inflammatory and malignant conditions, lymphoid neoplasia, autoimmune diseases and allograft rejection.

Disclaimer: 

CD25 is recommended for the detection of specific antigens of interest in normal and neoplastic tissues, as an adjunct to conventional histopathology using non-immunologic histochemical stains.

Prodotti

Prodotti

PA0305
7ml CD25 Bond RTU Primary

Downloads

Downloads

PA0305

Recently Viewed