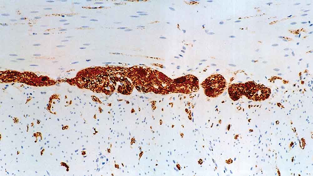
Human colon: immunohistochemical staining of Protein Gene Product 9.5. Note the staining in the neuronal elements and the ganglia of the longitudinal and circular smooth muscle. Protein Gene Product 9.5: clone 10A1

Protein Gene Product 9.5

Antigen Background

Protein gene product (PGP) 9.5 is a neuron-specific protein, structurally and immunologically distinct from neuron specific enolase. The protein which has a molecular weight of 27 kD was first identified by high resolution two dimensional PAGE. PGP9.5 expression has been reported in neurons and nerve fibers at all levels of the central and peripheral nervous system, in many neuroendocrine cells, in segments of the renal tubules, in spermatogonia and Leydig cells of the testis, in ova and in some cells of both the pregnant and non-pregnant corpus luteum. PGP9.5 is a member of the ubiquitin C-terminal hydroxylase family and is also concentrated within inclusion bodies suggesting that such structures may be metabolically active regions of the cells.

Disclaimer

Protein Gene Product 9.5 is recommended for the detection of specific antigens of interest in normal and neoplastic tissues, as an adjunct to conventional histopathology using non-immunologic histochemical stains.

Prodotti

Prodotti

PGP9.5-L-CE
1ml NCL-L-PGP9.5
PA0286
7ml PGP 9.5 Bond RTU Primary

Downloads

Downloads

PGP9.5-L-CE

PA0286

Recently Viewed