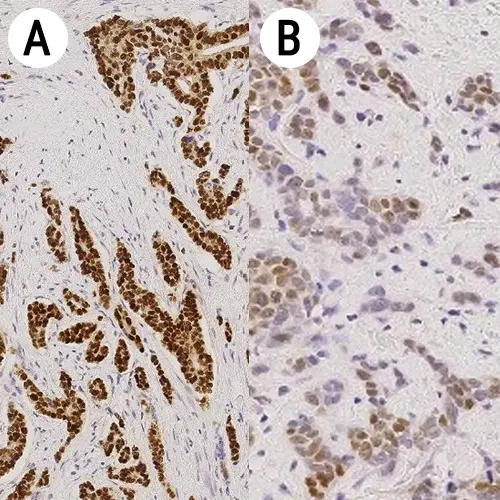
Left: Invasive ductal carcinoma (high expressor): intense nuclear staining in nearly 100% of tumor cells. Right: Invasive ductal carcinoma (moderate expressor): immunohistochemical staining for estrogen receptor. Note the heterogeneous nuclear staining of approximately 50% of tumor cells. Estrogen Receptor: clone 6F11
Left: Invasive ductal carcinoma (high expressor): intense nuclear staining in nearly 100% of tumor cells. Right: Invasive ductal carcinoma (moderate expressor): immunohistochemical staining for estrogen receptor. Note the heterogeneous nuclear staining of approximately 50% of tumor cells. Estrogen Receptor: clone 6F11
Estrogen Receptor
Antigen Background Estrogen receptor (ER) content of breast cancer tissue is an important parameter in the prediction of prognosis and response to endocrine therapy. The introduction of highly specific monoclonal antibodies to ER has allowed the determination of receptor status of breast tumors to be carried out in routine histopathology laboratories.
Product Specific Information Clone 6F11 is raised to the full-length alpha form of the estrogen receptor molecule.
Disclaimer Estrogen Receptor is recommended for the detection of specific antigens of interest in normal and neoplastic tissues, as an adjunct to conventional histopathology using non-immunologic histochemical stains.
Prodotti
Prodotti
PA0009
30ml ER Bond RTU Primary
Product is out of stock
Due to manufacturing & supply chain issues, this product is currently unavailable. You may place your order and it will be fulfilled when the product is back in stock. For more help, please reach out to customer service at +1 844 534 2262 or nonurgentcs@leicabiosystems.com
Product is limited in stock
Product availability is limited, but products are in continuous production. Your order will be processed as normal and may take additional days to ship.