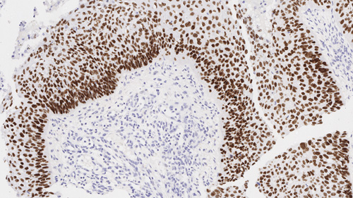
Squamous cell carcinoma of lung: Immunohistochemistry staining of p40. p40: clone BC28

p40

Descriptions des antigènes
p40 (Delta Np63) est un produit tronqué de la p63. Il s’exprime normalement dans la couche basale ou les cellules progénitrices de l’épithélium stratifié, les cellules basales de la prostate, ainsi que les cellules myoépithéliales des glandes salivaires et mammaires, et les cytophotoblastes du placenta, et présente un schéma de coloration nucléaire avec l’IHC. Parmi les nombreux néoplasmes positifs au p40, les carcinomes à cellules squameuses d’origine pulmonaire et non pulmonaire peuvent être distingués des autres malignités.

Clause limitative de responsabilité
p40 est recommandé pour la détection des antigènes d’intérêt spécifiques dans les tissus normaux et néoplasiques, en complément à l'histopathologie traditionnelle utilisant des marqueurs histochimiques non immunologiques.

Produits

Produits

PA0163
7mL p40 (BC28) Bond RTU Primary
Voir Disponibilité
PA0163-U
7ml p40 (BC28) Bond RTU Primary
Voir Disponibilité

Téléchargements

Téléchargements

PA0163

PA0163-U

Récemment Consultés