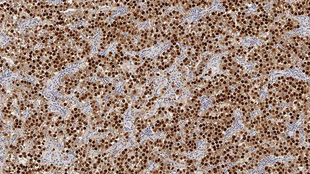
Human testes, seminoma: immunohistochemical staining for Oct-3/4. Note nuclear staining of neoplastic cells. Oct-3/4: clone N1NK

Oct-3/4

Description de l'antigène

Oct3/4 est un membre de la familles des facteurs de transcription à homéodomaine POU, exprimés par les cellules souches embryonnaires et les cellules germinales. Une quantité critique d'Oct3/4 est requise pour le maintient de la réplication des cellules souches. Une régulation à la baisse des niveaux d'Oct3/4 est associée à la perte de pluripotence.

On a proposé qu'Oct3/4 est un marqueur utile des tumeurs à cellules germinales qui possèdent des caractéristiques pluripotentes, y compris les séminomes/dysgerminomes/germinomes et les carcinomes embryonnaires, et peut également permettre d'établir l'origine germinale de certaines tumeurs métastatiques dont l'identité de la tumeur primaire est incertaine.

Produits

Produits

OCT3/4-L-CE
1ml NCL-L-OCT3/4
Voir Disponibilité
PA0193
7ml Oct-3/4 (N1NK) Bond RTU Primary
Voir Disponibilité
PA0934
7ml Oct-3/4 Bond RTU Primary
Voir Disponibilité
OCT3/4-L-U
1ml NCL-L-OCT3/4
Voir Disponibilité
PA0193-U
7ml Oct-3/4 (N1NK) Bond RTU Primary
Voir Disponibilité

Téléchargements

Téléchargements

OCT3/4-L-CE

PA0193

PA0934

OCT3/4-L-U

PA0193-U

Récemment Consultés