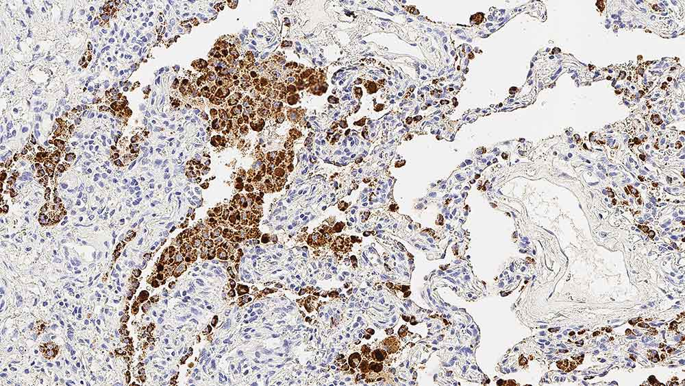
Human lung: immunohistochemical staining for Napsin A. Note cytoplasmic staining of pneumocytes and alveolar macrophages. Napsin A: clone IP64

Napsin A

Description de l'antigène

La napsine A a une fonction spécifique à l'épithélium alvéolaire normal, et on a proposé qu'elle joue un rôle dans la protéolyse des précurseurs des protéines tensioactives.

La napsine A est principalement exprimée dans les corps lamellaires des pneumocytes de type II, dans les lysosomes secondaires des macrophages alvéolaires, dans l'épithélium respiratoire des bronchioles terminales et respiratoires, dans les cellules plasmatiques, dans un sous-groupe de lymphocytes du poumon normal, ainsi que dans les cellules épithéliales des tubules rénaux dans le rein normal ; elle est également faiblement exprimée dans la rate normale.

Des études ont révélé que la napsine A est exprimée dans 90 pour cent des adénocarcinomes pulmonaires primaires.

Produits

Produits

NAPSINA-L-CE
1ml NCL-L-Napsin A
Voir Disponibilité
PA0064-U
7ml Napsin A (IP64) Bond RTU Primary
Voir Disponibilité
PA0064
7ml Napsin A (IP64) Bond RTU Primary
Voir Disponibilité
NAPSINA-L-U
1ml NCL-L-Napsin A
Voir Disponibilité

Téléchargements

Téléchargements

NAPSINA-L-CE

PA0064-U

PA0064

NAPSINA-L-U

Récemment Consultés